症例詳細
Case detail
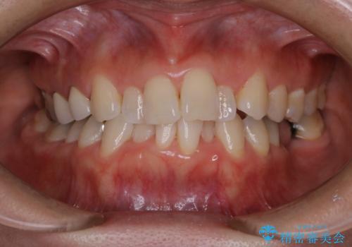
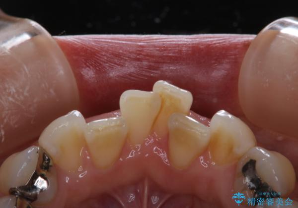
矯正治療の開始前にPMTCで汚れの除去
治療症例の内容
- 診療科目
- 治療カテゴリ
- 患者様
- 30代女性
- 治療期間
- 1日
- 治療回数
- 1回
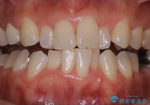
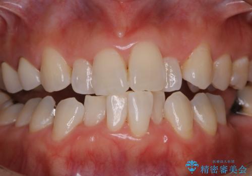
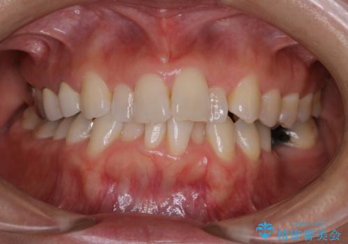
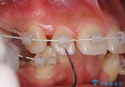
- 治療計画
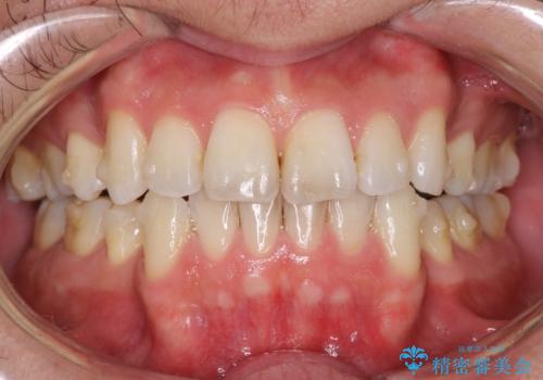
- これから矯正治療が開始される方です。装置の作成前にクリーニングを希望とのことでした。PMTC30分コースを行いました。
- 費用(概算)
- 5,500円(税込)費用は治療当時の料金となります
治療について
プラーク(細菌の塊)や歯石がたまると歯の表面はザラつきいてきます。そのザラつきは歯周病や虫歯菌の棲家となります。そのまま放置すると、歯肉が腫れてきたり、歯肉から出血したり、口臭が強くでたりします。とくに歯肉の境目は、歯磨きで汚れを除去することが難しく、プラーク(細菌の塊)や歯石が溜まりやすい場所です。
歯並が、がたついている場合はなおさら汚れが溜まりやすいです。矯正治療前や定期的にPMTCをすることで、矯正治療中の歯肉トラブルを防ぐことにつながります。
担当歯科衛生士
表参道しらゆり歯科 DH西澤
PMTCの注意事項(リスク・副作用など)
- 歯を白くする目的の施術ではありません
- 保険適用外となります
当サイトの内容、テキスト、画像等の無断転載、複製、複写、盗用を固く禁じます。






