症例詳細
Case detail
ナイトガードを作成前にPMTCできれいに
治療症例の内容
- 診療科目
- 治療カテゴリ
- 患者様
- 30代女性
- 治療期間
- 1日
- 治療回数
- 1回
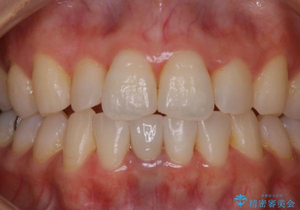
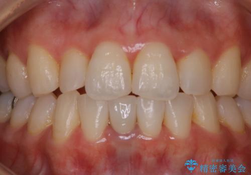
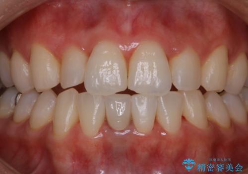
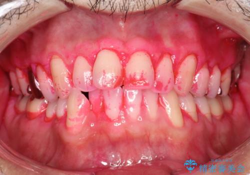
- 治療計画
- 夜間の歯ぎしり・食いしばり予防のナイトガードを作成希望とのことで来院されました。しばらくクリーニングも受けていないとのことでPMTC30分コースを行いました。
- 費用(概算)
- 5,500円(税込)費用は治療当時の料金となります
治療について
プラークや歯石により、歯肉が炎症している場合、歯と歯肉の境目が鮮明に型取り出来ないなどがあります。そのため、マウスピースの作成前などには、PMTCで歯の表面の汚れを落とすことで、仕上がりのマウスピースがより精密なものとなります。
担当歯科衛生士
表参道しらゆり歯科 DH西澤
PMTCの注意事項(リスク・副作用など)
- 歯を白くする目的の施術ではありません
- 保険適用外となります
当サイトの内容、テキスト、画像等の無断転載、複製、複写、盗用を固く禁じます。








 
                       
                                                          



 
                   
                   
                  