症例詳細
Case detail
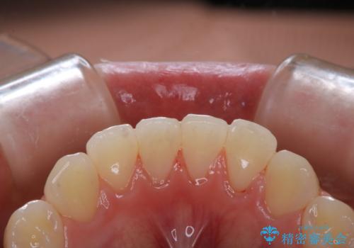
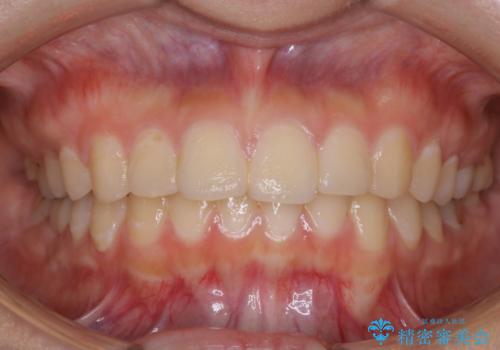
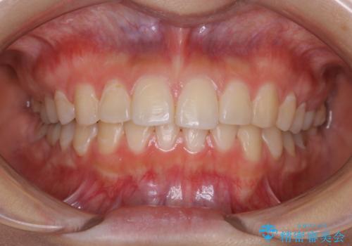
虫歯の治療が終了後にPMTCで全体を綺麗に
治療症例の内容
- 診療科目
- 治療カテゴリ
- 患者様
- 20代女性
- 治療期間
- 1日
- 治療回数
- 1回
- 治療計画
- 奥歯の虫歯治療が終了したため、クリーニングを行ってからメンテナンスに移行していきたいとのことでした。PMTC30分コースを行いました。
- 費用(概算)
- 5,500円(税込)費用は治療当時の料金となります
治療について
治療が終了したら、そこで終わりではなく、そこからのケア・メンテナンスがとても大切です。
いくら綺麗なセラミックなどがセットされても、歯ブラシが適切にできないと汚れが付着します。治療が終わったら、改めて現状のお口の中に合わせたブラッシング指導を行うことや、専門的なクリーニングを受けることで長期的に安定したお口の環境づくりにしていきます。
担当歯科衛生士
表参道しらゆり歯科 DH西澤
PMTCの注意事項(リスク・副作用など)
- 歯を白くする目的の施術ではありません
- 保険適用外となります
当サイトの内容、テキスト、画像等の無断転載、複製、複写、盗用を固く禁じます。






