症例詳細
Case detail
PMTCで清潔感ある口元に
治療症例の内容
- 診療科目
- 治療カテゴリ
- 患者様
- 20代男性
- 治療期間
- 1日
- 治療回数
- 1回
- 治療計画
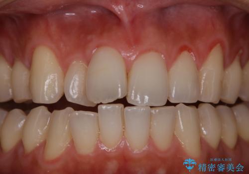
- しばらくクリーニングを行っていなく、見た目を綺麗にしたいとのことで来院されました。PMTC30分コースを行いました。
- 費用(概算)
- 5,500円(税込)費用は治療当時の料金となります
治療について
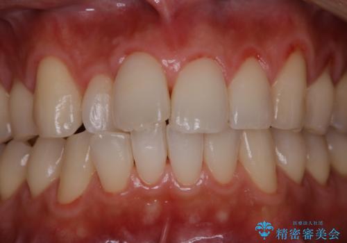
PMTC30分コース(保険外治療)を行いました。かなり久しぶりの歯科医院へ来院とのことで、プラーク(歯垢)・歯石・ステイン(着色)が付着していました。汚れを除去し、本来のご自身の歯質にすることでなにか異常があった際に発見しやすくなります。
PMTCで汚れを除去することは、虫歯や歯周病・口臭予防に効果的です。
定期的に歯科医院にて専門的なクリーニング(PMTC)を行うことをおすすめしています。
担当歯科衛生士
表参道しらゆり歯科 DH西澤
PMTCの注意事項(リスク・副作用など)
- 歯を白くする目的の施術ではありません
- 保険適用外となります
当サイトの内容、テキスト、画像等の無断転載、複製、複写、盗用を固く禁じます。




