症例詳細
Case detail
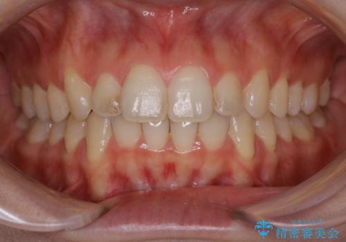
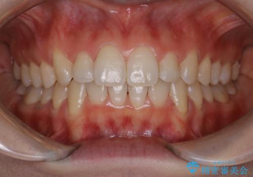
前歯の着色をPMTCできれいに
治療症例の内容
- 診療科目
 
- 治療カテゴリ
 
- 患者様
 - 20代女性
 
- 治療期間
 - 1日
 
- 治療回数
 - 1回
 
- 治療計画
 - 前歯に付着している着色がきになるとのことでした。PMTC30分コースを行いました。
 
- 費用(概算)
 - 5,500円(税込)費用は治療当時の料金となります
 
治療について
PMTCとはプロフェッショナル・メカニカル・トゥース・クリーニングの略です。
専門的な機械や器具を使用して歯のクリーニングを行います。
口の中には、目には見えない細菌がたくさんいます。歯周病は細菌による感染症です。歯面のプラークや着色(ステイン)など、細菌をしっかり除去し、治療の妨げにならないよう、治療中にPMTCを行うことも大切です。
担当歯科衛生士
表参道しらゆり歯科 DH西澤
PMTCの注意事項(リスク・副作用など)
- 歯を白くする目的の施術ではありません
 - 保険適用外となります
 
当サイトの内容、テキスト、画像等の無断転載、複製、複写、盗用を固く禁じます。

                      
                                                          


