症例詳細
Case detail
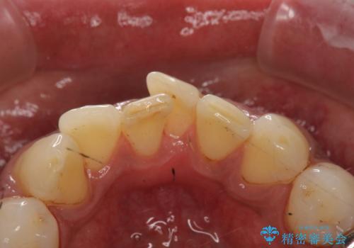
タバコによるヤニをPMTC(歯科医院での専門的クリーニング)で除去。
治療症例の内容
- 診療科目
- 治療カテゴリ
- 患者様
- 30代男性
- 治療期間
- 1日
- 治療回数
- 1回
- 治療計画
- タバコのヤニによる着色を気にされ、来院されました。PMTC(歯科医院での専門的クリーニング)をおすすめしました。
- 費用(概算)
- 5,500円(税込) 30分費用は治療当時の料金となります
PMTC(30分コース)
歯ブラシでは、除去できない着色、汚れが落ち歯の表面もツルツルになって気持ちがいいと喜んでいただけました。
担当歯科衛生士
横浜桜木町歯科 DH進藤
PMTCの注意事項(リスク・副作用など)
- 歯を白くする目的の施術ではありません
- 保険適用外となります
当サイトの内容、テキスト、画像等の無断転載、複製、複写、盗用を固く禁じます。




