症例詳細
Case detail
歯科医院で初めてのクリーニング PMTC30分コース
治療症例の内容
- 診療科目
- 治療カテゴリ
- 患者様
- 20代女性
- 治療期間
- 1日
- 治療回数
- 1回
- 治療計画
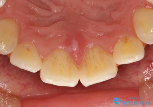
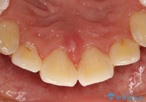
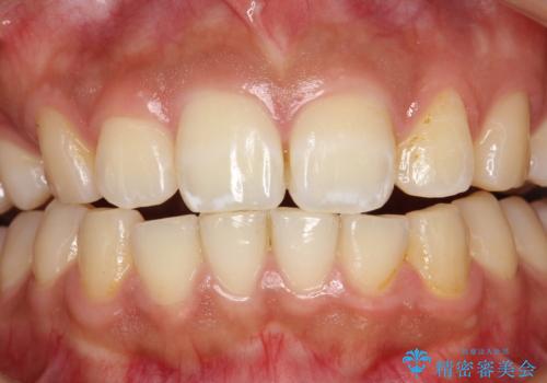
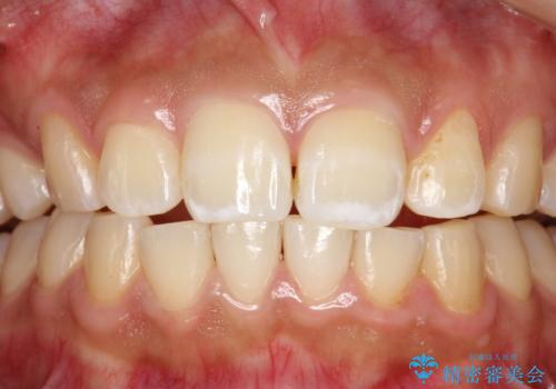
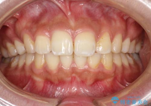
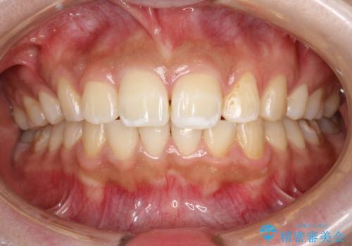
- 今まで、歯医者でのクリーニングを受けたことがないとのことでした。PMTC分60分コースを行いました。
- 費用(概算)
- 1万円+tax費用は治療当時の料金となります
治療について
クリーニング希望の際には担当の歯科衛生士が、患者様1人1人の歯周病リスク・ブラッシングスキルなども確認します。
単なる磨き方の指導だけではなく、歯並びや歯肉の状態、ライフスタイルなどにより、患者様に適した歯ブラシや歯磨剤の選択をしたり、お口のお悩みについてのご相談も承っております。
定期的にメンテナンスを行うことで、なにかあった時の早期発見につながります。
担当歯科衛生士
表参道しらゆり歯科 DH西澤
PMTCの注意事項(リスク・副作用など)
- 歯を白くする目的の施術ではありません
- 保険適用外となります
当サイトの内容、テキスト、画像等の無断転載、複製、複写、盗用を固く禁じます。








