症例詳細
Case detail
日々の磨き残しをPMTCできれいに
治療症例の内容
- 診療科目
- 治療カテゴリ
- 患者様
- 20代男性
- 治療期間
- 1日
- 治療回数
- 1回
- 治療計画
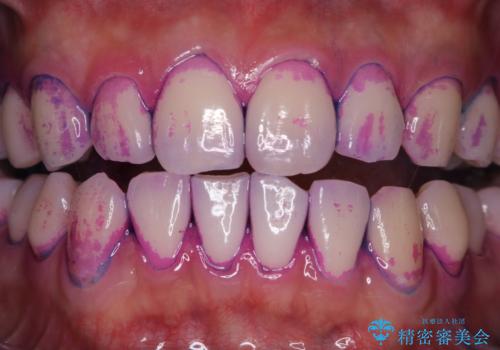
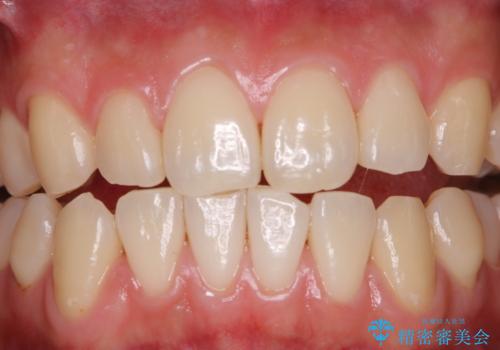
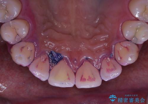
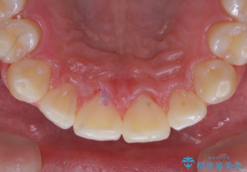
- 約1年ぶりの歯科で、クリーニング希望とのことでした。PMTC30分コースを行いました。
- 費用(概算)
- 5千円+tax費用は治療当時の料金となります
治療について
歯垢染色液を使うと、一見きれいな歯でも染まっている所が全て歯垢(プラーク)なのがはっきり分かります。歯に付着した歯垢(プラーク)は肉眼では認識しにくいものです。完璧に磨けているつもりでも、磨き残しが残っているかもしれません。
毎日の歯磨きだけでは、隅々までキレイに磨くことは困難です。さらに、体調不良や疲労などで免疫が低下しているとお口の中の細菌が増えやくなることがあります。
そのため、歯科医院にて定期的に歯磨きのチェックや専門的な機械でのクリーニングをすることが大切です。
担当歯科衛生士
表参道しらゆり歯科 DH西澤
PMTCの注意事項(リスク・副作用など)
- 歯を白くする目的の施術ではありません
- 保険適用外となります
当サイトの内容、テキスト、画像等の無断転載、複製、複写、盗用を固く禁じます。








