症例詳細
Case detail
適合のよいセラミックで自分の歯となじむ自然な仕上がりに
治療症例の内容
- 診療科目
- 治療カテゴリ
- 担当医
- 患者様
- 30代女性
- 治療期間
- 1ヶ月
- 治療回数
- 2-5回
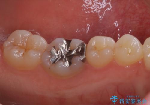
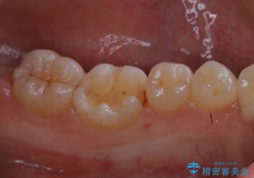
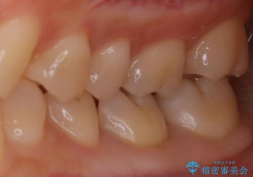
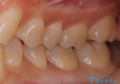
- 治療計画
- 大きく口を開けると目立つ銀歯のやり替えをご希望された患者様です。適合のよいセラミックインレーで補綴することで、将来的な虫歯発生のリスクを最小限に抑え、機能面でも安心して使っていただけるようにしました
- 費用(概算)
- 7万円費用は治療当時の料金となります
治療について
適合不良の補綴物は二次的な虫歯発生のリスクが高まります。
自費診療で用いられる材料は保険適応の材料に比べて、より精密で適合の良い被せ物作ることができるため、長期的な虫歯のリスクを大幅に減らすことが可能です。
セラミック治療の注意事項(リスク・副作用など)
- 天然歯を削ります
- 硬い素材は天然歯を傷つけてしまう場合があります
- かみ合わせや歯ぎしりが強すぎる方はセラミックが割れてしまう可能性があります
- 自費診療(保険適用外治療)となります
当サイトの内容、テキスト、画像等の無断転載、複製、複写、盗用を固く禁じます。











