症例詳細
Case detail
染め出しとPMTC
治療症例の内容
- 診療科目
- 治療カテゴリ
- 患者様
- 20代男性
- 治療期間
- 1日
- 治療回数
- 1回
- 治療計画
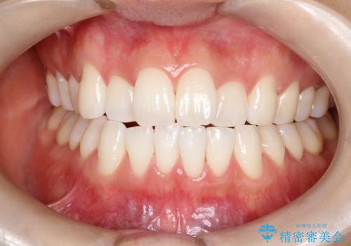
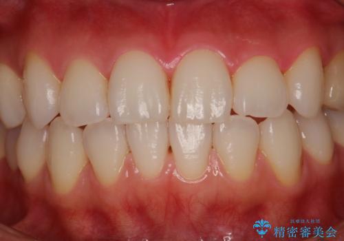
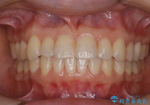
- 久しぶりの来院で歯磨きチェックとクリーニング希望とのことでした。染め出しとPMTC30分コースを行いました。
- 費用(概算)
- 5千円+tax費用は治療当時の料金となります
治療について
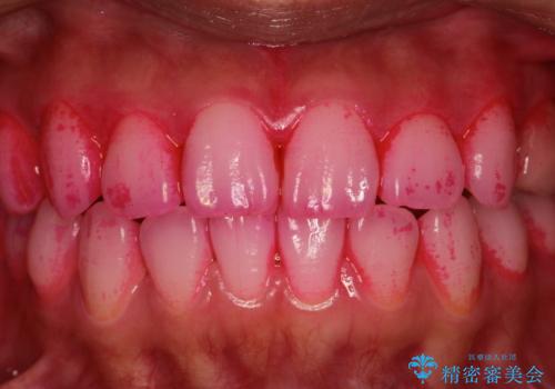
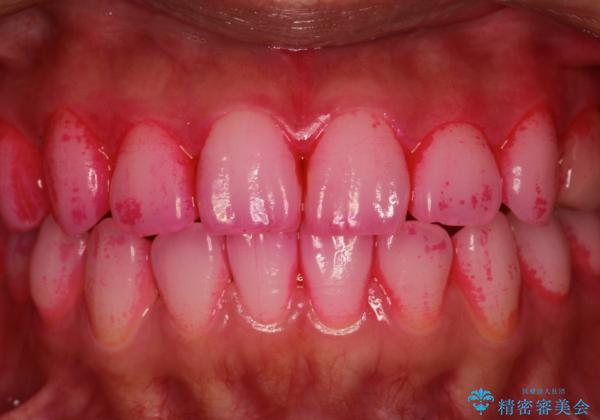
一見きれいに見える歯でも、染め出し(歯垢染色液)を使うとこのように歯と歯茎の境目や、歯と歯の間などに磨き残しがあることがわかります。歯磨きには、いつも気をつけているから磨き残しはナシと思っていても、実際完璧に磨ききることはなかなか難しいです。歯科医院にて、専門の機械で定期的なPMTCを行うことが大切です。
担当歯科衛生士
表参道しらゆり歯科 DH西澤
PMTCの注意事項(リスク・副作用など)
- 歯を白くする目的の施術ではありません
- 保険適用外となります
当サイトの内容、テキスト、画像等の無断転載、複製、複写、盗用を固く禁じます。




