症例詳細
Case detail
ホワイトニング予定の方のPMTC まずはステイン除去
治療症例の内容
- 診療科目
- 治療カテゴリ
- 患者様
- 40代男性
- 治療期間
- 1日
- 治療回数
- 1回
- 治療計画
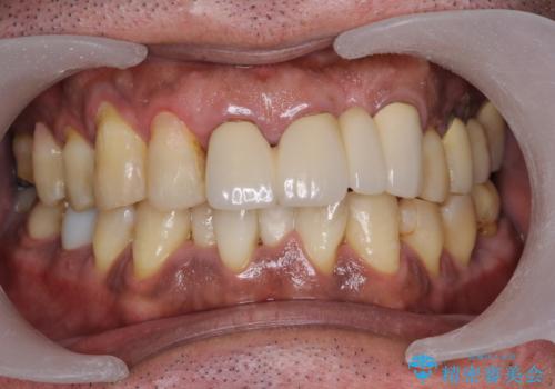
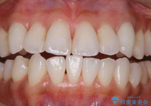
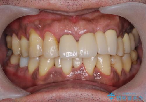
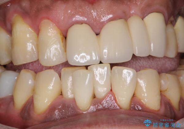
- ホワイトニングを考えているとのことで来院されました。お口の状態を確認したところ、ステインや歯石が付着していたため、現状の確認・相談をし、まずはPMTCでステインや歯石を除去することになりました。PMTC30分コースを行いました。
- 費用(概算)
- 5千円+tax費用は治療当時の料金となります
治療について
歯の表面にプラークや歯石、ステインなどが付着しているままだと、ホワイトニングの効果が発揮されないことがあります。ホワイトニングでは、着色落としをするのではなく、内部の色素を分解し白くしていきます。
また、歯石やプラークが付着していると、歯肉炎や歯周炎の状態の可能性もあります。
歯肉に炎症があると、歯肉保護が正確に行えないことがありトラブルの原因にもなります。
そのため、より良好な効果を得るために、当院ではホワイトニング希望で来院された場合でも口腔内の状態を精密に確認して当日はPMTCをご案内する場合があります。
まずは、カウンセリングを行うこともおすすめです。
※状態により、当日にクリーニングとホワイトニングを同日に行える場合もあります。
ホワイトニングが出来ないケース
・無カラターゼ症の方
・妊娠中、授乳中の方
・小児
・歯科治療で用いる材料にアレルギー7のある方
ホワイトニング前に処置が必要な場合
・健全でない歯(虫歯等)
・歯石やステインが付着している場合
・知覚過敏を有している方
・歯肉炎、歯周炎
・歯の詰め物が破損している場合
担当歯科衛生士
表参道しらゆり歯科 DH西澤
PMTCの注意事項(リスク・副作用など)
- 歯を白くする目的の施術ではありません
- 保険適用外となります
当サイトの内容、テキスト、画像等の無断転載、複製、複写、盗用を固く禁じます。




