症例詳細
Case detail
奥歯の詰め物のやりかえ セラミックインレー、ゴールドインレー
治療症例の内容
- 診療科目
- 治療カテゴリ
- 担当医
- 井上季実子(ドクタープロフィール)
- 患者様
- 20代男性
- 治療期間
- 1ヶ月
- 治療回数
- 2-5回
- 治療計画
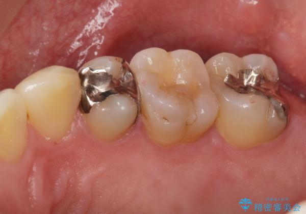
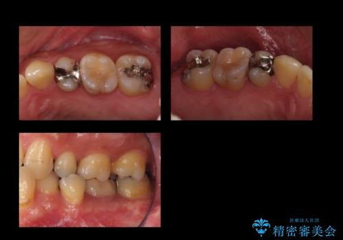
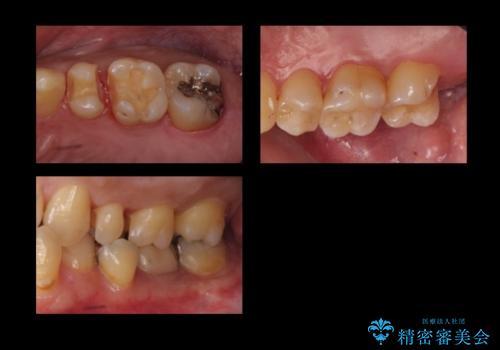
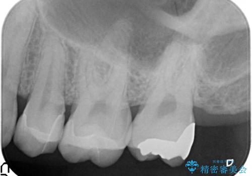
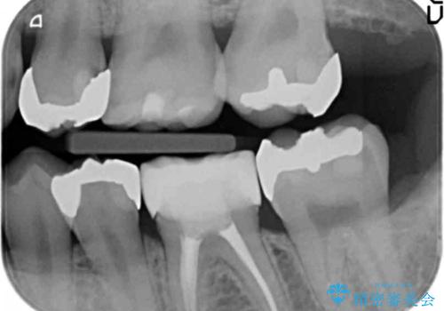
- 上の奥歯の詰め物が合っていないため、やりかえを行いました。
- 費用(概算)
- 20万円 内訳 左上56:emaxインレー7万円x2 、左上7:PGAインレー6万円 (税別)費用は治療当時の料金となります
治療について
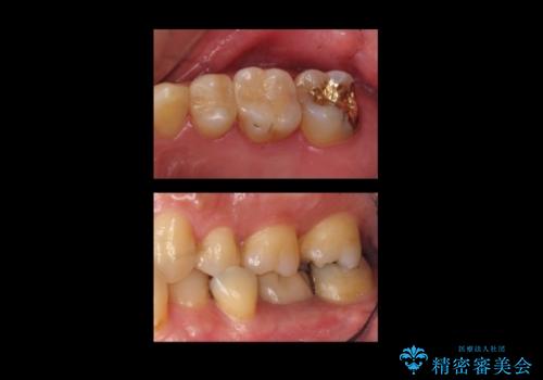
上の一番奥の歯は、一番目立たない場所なので(他人から見えない)、ゴールドインレーでも目立ちません。
セラミックインレーでは割れやすい大きさの虫歯または、歯が薄くなって被せなければいけないような場合でも、金属(ゴールド)は耐久性があり、クラウン(被せ物)にしなくて済みます。
PGA(ゴールド)クラウン、インレーの注意事項(リスク・副作用など)
- インレーおよびクラウンは脱離するリスクがあります
- 形成量はセラミックより少ないですが、歯の形成、修復後に歯に症状が出ることがあります
- 自費診療(保険適用外治療)となります
セラミック治療の注意事項(リスク・副作用など)
- 天然歯を削ります
- 硬い素材は天然歯を傷つけてしまう場合があります
- かみ合わせや歯ぎしりが強すぎる方はセラミックが割れてしまう可能性があります
- 自費診療(保険適用外治療)となります
当サイトの内容、テキスト、画像等の無断転載、複製、複写、盗用を固く禁じます。








 
                       
                                                          







 
                   
                   
                  