症例詳細
Case detail
虫歯がひどく抜歯 奥歯をブリッジに
治療症例の内容
- 診療科目
- 治療カテゴリ
- 担当医
- 井上季実子(ドクタープロフィール)
- 患者様
- 30代男性
- 治療期間
- 1年
- 治療回数
- 5-10回
- 治療計画
- 全体を見て欲しいと来院。
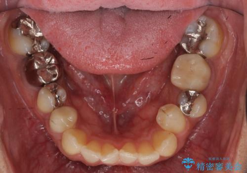
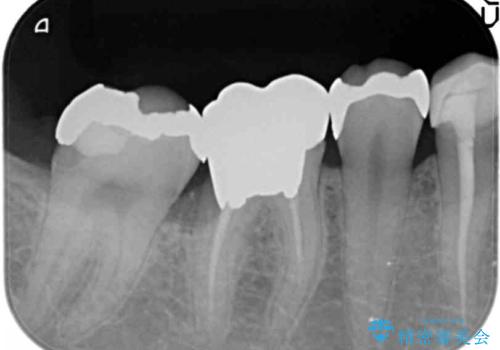
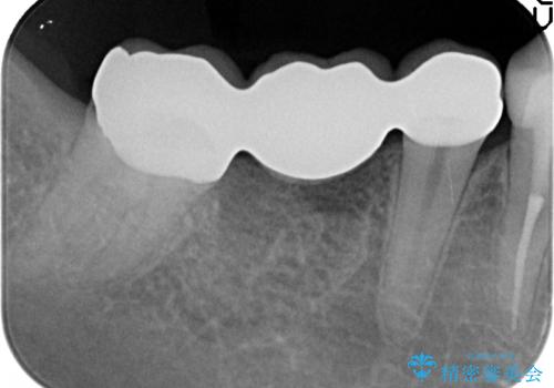
右下の奥歯の虫歯が大きく、やりかえが難しい状態でした。
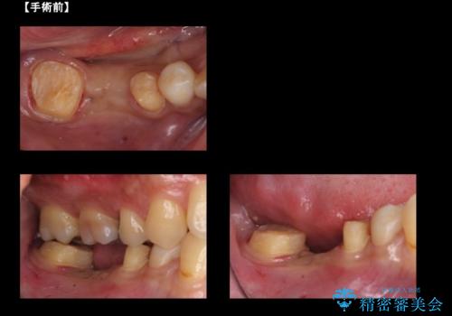
外して虫歯を取ったところ。歯茎の深いところまで虫歯があり、やむなく抜歯しました。
右下7については、遠心の歯の高さがなく、また、同様に歯肉縁下にカリエスがあったため、手術を行い改善しました。
- 費用(概算)
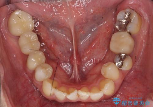
- 右下567ブリッジ:43万円(ジルコニアクラウン10万円x3、仮歯1万円x3、APF10万円)、右下4:10万円(emaxクラウン7万円、仮歯1万円、ファイバーコア2万円)(税別)費用は治療当時の料金となります
治療について
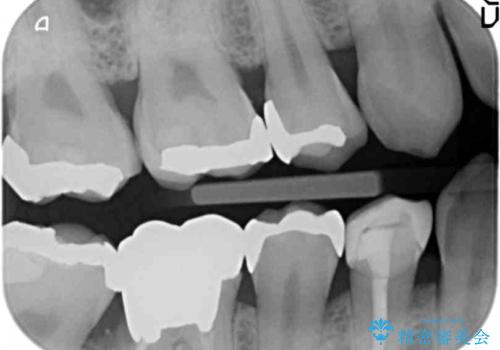
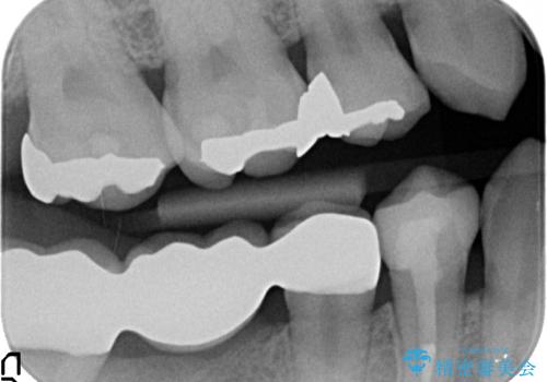
手術はディスタルウェッジとAPFを併せて行なっています。
右下6については、物理的には歯を使うことは可能ですが、残すと悪くなっていくのを避けられないような修復しかできないため、長期的な展望が立たないため抜歯をお勧めしました。
短期的にまた抜歯になるような修復のやりかえは、お勧めしておりません。
外科処置の注意事項(リスク・副作用など)
- 外科手術のため、術後に出血、痛みや腫れ、違和感を伴います
- 口腔内の状態によっては適応できないことがあります
セラミック治療の注意事項(リスク・副作用など)
- 天然歯を削ります
- 硬い素材は天然歯を傷つけてしまう場合があります
- かみ合わせや歯ぎしりが強すぎる方はセラミックが割れてしまう可能性があります
- 自費診療(保険適用外治療)となります
当サイトの内容、テキスト、画像等の無断転載、複製、複写、盗用を固く禁じます。















