症例詳細
Case detail
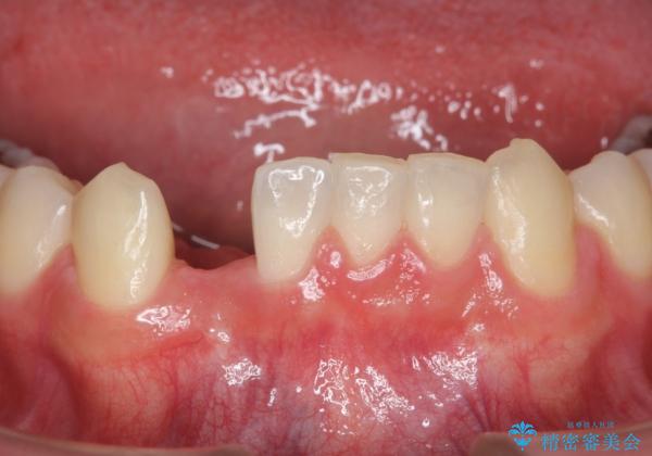
下の前歯のインプラント 生まれつき歯が少ない
治療症例の内容
- 診療科目
- 治療カテゴリ
- 担当医
- 井上季実子(ドクタープロフィール)
- 患者様
- 20代男性
- 治療期間
- 1年
- 治療回数
- 5-10回
- 治療計画
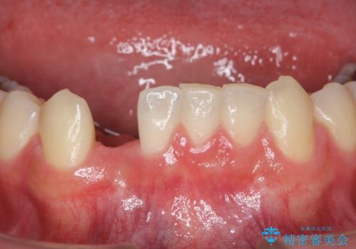
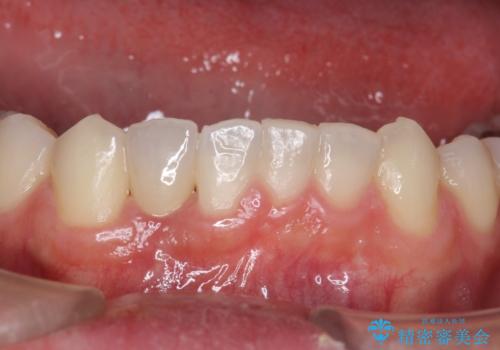
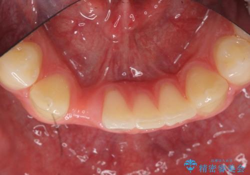
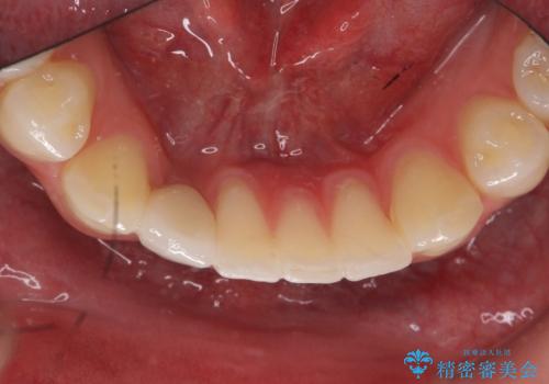
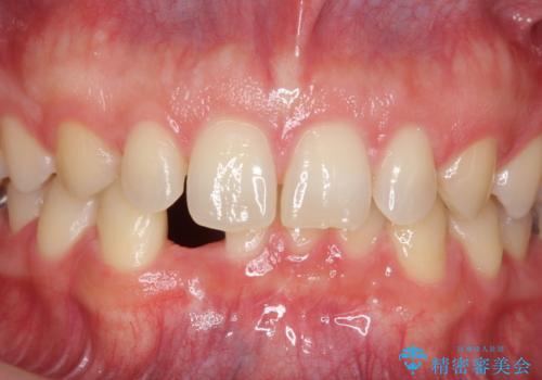
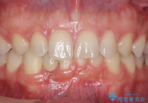
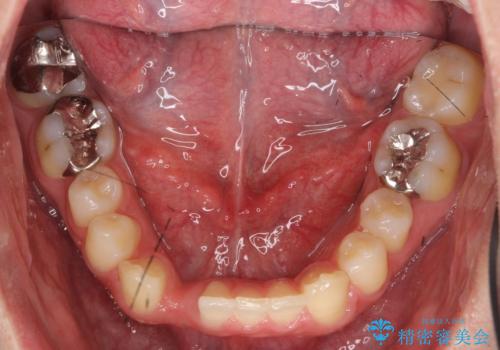
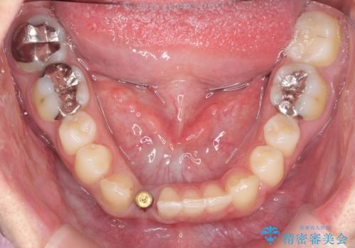
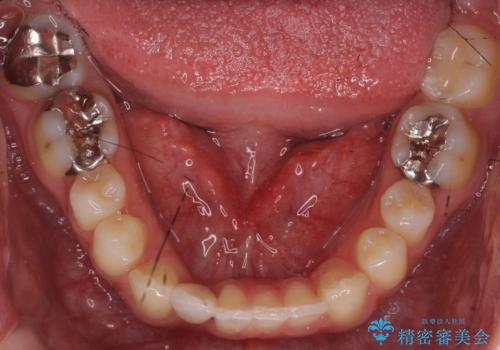
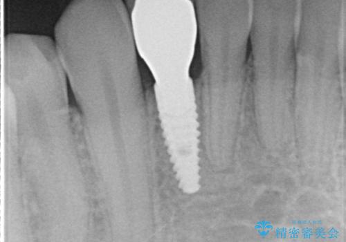
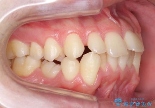
- 下の前歯が1本生まれつき少なかったため、インプラント治療を行いました。
インプラントの前に矯正治療を行い、入れる隙間を確保しました。
矯正治療については以下を参照してください。
https://seimitsushinbi.jp/case/64227/
被せ物の色を決める前に、ホワイトニングを行なっています。
- 費用(概算)
- 45万円(税別) 内訳:ストローマンインプラント(1本)20万円、ジルコニアクラウン10万円、シリンダーTeC 2万円 ジルコニアカスタムアバットメント10万円 ホワイトニング(エクセレント)3万円費用は治療当時の料金となります
治療について
ブリッジにすることも可能でしたが、両側の歯が天然歯であること、また、事前に矯正で噛み合わせを整え、幅も確保していたこと、CTにより骨の厚みがある程度あったことを踏まえ、インプラントも可能であるとお話しし、選んでいただきました。
唇側の骨増成もしっかり行い、前歯部インプラントによくある、歯茎が下がって見えることもない、審美的なインプラント補綴ができました。
インプラント治療の注意事項(リスク・副作用など)
- 外科手術のため、術後に痛みや腫れ、違和感を伴います
- メンテナンスを怠ったり喫煙により、お口の中に大きな悪影響を及ぼすインプラント周囲炎等にかかる可能性があります
- 糖尿病、肝硬変、心臓病等の場合、インプラント治療ができない可能性があります
- 高血圧、貧血・不整脈等の場合、インプラント治療後に治癒不全を招く可能性があります
- 自費診療(保険適用外治療)となります
当サイトの内容、テキスト、画像等の無断転載、複製、複写、盗用を固く禁じます。




















