症例詳細
Case detail
【根管治療】昨日から眠れないぐらい歯が痛い
治療症例の内容
- 診療科目
- 治療カテゴリ
- 担当医
- 河口智英(ドクタープロフィール)
- 患者様
- 20代女性
- 治療期間
- 1ヶ月
- 治療回数
- 2-5回
- 治療計画
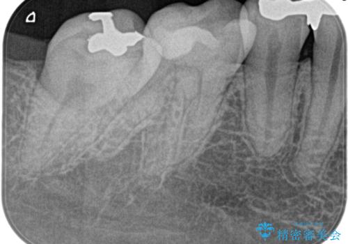
- 昨日から夜も眠れないぐらい痛いことを主訴に来院されました。
検査の結果、不可逆性歯髄炎の診断とし根管治療を行なっております。
- 費用(概算)
- 精密根管治療(イニシャルケース,大臼歯):122,000円、ファイバーコア:22,000円費用は治療当時の料金となります
治療について
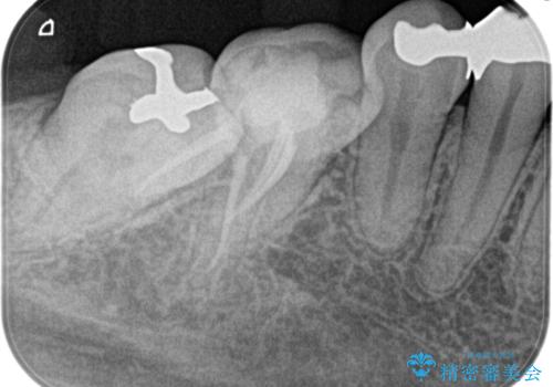
根管治療は1回ごとにまとまった時間で治療を行うことにより2~3回の治療で完了します。
治癒不良の場合は外科的歯内療法の適応となります。
根管治療した歯は、クラウン修復が必要です。
根管治療の注意事項(リスク・副作用など)
- 根管治療により類似の全ての症例の問題が解決するわけではなく、症例はあくまでも一例です
- 根管治療により痛みや腫れがひかない事や、術後に痛みや腫れが生じる事、治療によるファイル破折やパーフォレーションなどの偶発症、術後の歯根破折を生じる可能性もあります
- 自費診療(保険適用外)となります
当サイトの内容、テキスト、画像等の無断転載、複製、複写、盗用を固く禁じます。








