症例詳細
Case detail
下顎前歯の歯肉退縮 歯肉移植による根面被覆
治療症例の内容
- 診療科目
- 治療カテゴリ
- 担当医
- 藤巻太一朗(ドクタープロフィール)
- 患者様
- 30代女性
- 治療期間
- 3ヶ月
- 治療回数
- 2-5回
- 治療計画
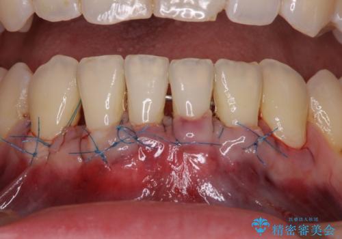
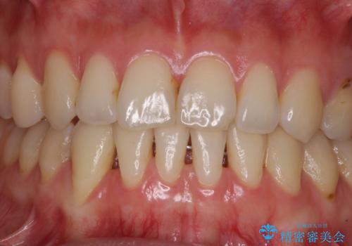
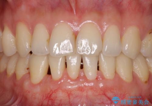
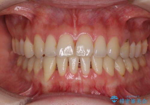
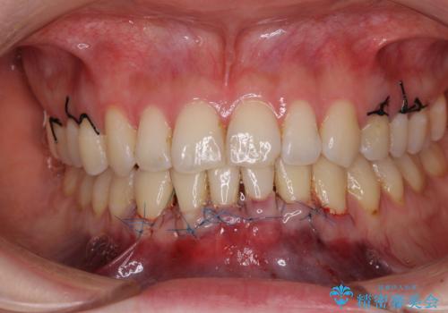
- 他院で矯正治療を行った結果、歯肉が退縮してしまった下顎前歯が気になるとのことで来院された患者様です。
歯肉退縮に対して、上顎からの結合組織移植術(CTG)により、歯根の被覆を行うとともに、歯肉の厚みを増すことで将来の退縮リスクを抑制することとしました。
被覆量が不十分の場合には、追加で手術を行うことで患者様の了解を得ました。
- 費用(概算)
- 治療費の目安: 25万円費用は治療当時の料金となります
治療について
処置範囲が広範囲であったため、左右両側から歯肉を摂取しました。
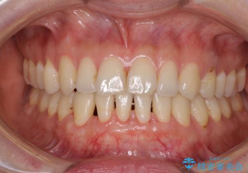
犬歯と中心に根面被覆が達成され、歯肉の厚みも十分に獲得でき、患者様には大変満足していただきました。
外科処置の注意事項(リスク・副作用など)
- 外科手術のため、術後に出血、痛みや腫れ、違和感を伴います
- 口腔内の状態によっては適応できないことがあります
当サイトの内容、テキスト、画像等の無断転載、複製、複写、盗用を固く禁じます。










