症例詳細
Case detail
前歯のがたつきをインビザラインで目立たず矯正治療
治療症例の内容
- 診療科目
- 治療カテゴリ
- 担当医
- 患者様
- 20代女性
- 矯正装置
- インビザライン
- 治療期間
- 1年
- 治療回数
- 5-10回
- 治療計画
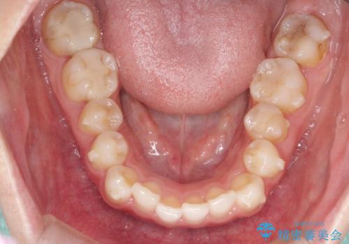
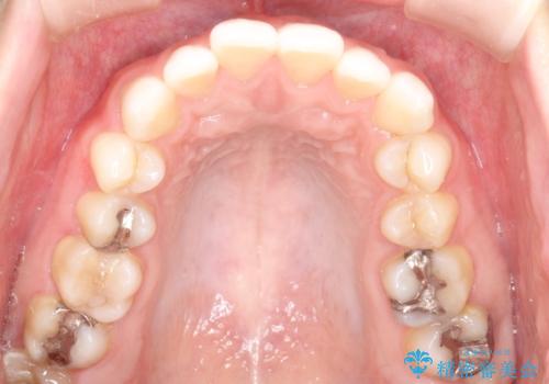
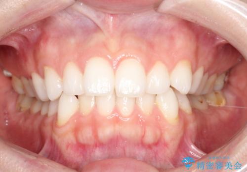
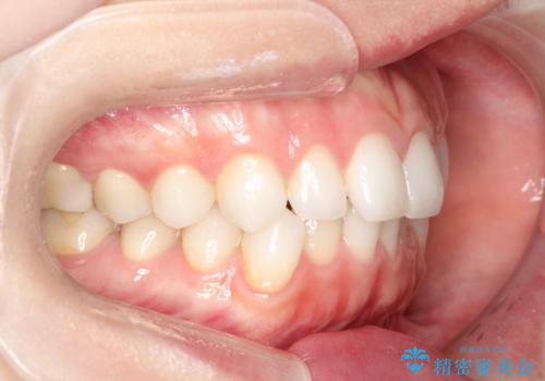
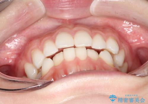
- 上下の前歯のがたつきを主訴に来院されました。
目立たない装置がご希望で、インザラインによるマウスピース矯正にて治療を行うこととなりました。
- 費用(概算)
- 約75万円費用は治療当時の料金となります
※顔写真掲載にあたり、患者様の了解を得ております
治療について
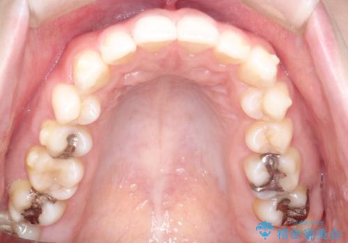
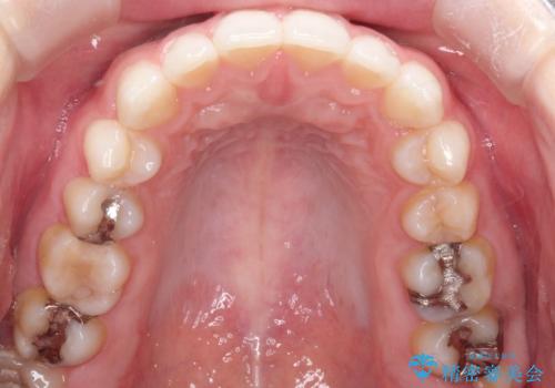
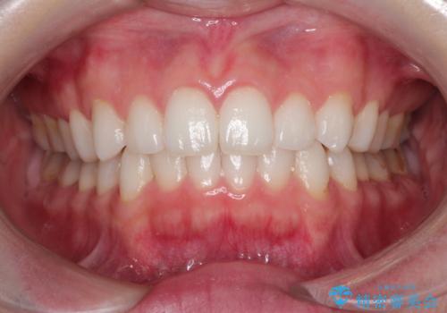
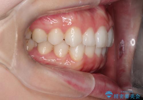
使用時間を守っていただけたので、スムーズに治療を終わることができました。
患者様からの感想
元々あまり歯並びを気にしていなかったのですが、知人がインビザラインをしているのを見て気になってはいました。仕事の関係上表のワイヤー矯正は出来なかった為、少々不便ではあるものの人にバレにくいインビザラインは私に合っていると感じました。中でも個人的に一番良かったのは、シミュレーションが見れたことです。あまり変わってないなと感じる時も、シミュレーションのお陰で必ず変わるのは目に見えたので頑張ろうと思えました。
実際にマウスピースをつけて生活をしてみて、確かに不便な点はありましたが食事をしたらすぐに歯磨きをするという良い習慣が身についたのでその点は良かったかなと思います。食べ歩きをする時などは外している時間が長くなってしまうので、その分次の日は食事の時間を短くしたりして時間の調整をしていました。痛さについては、マウスピースを交換してすぐは痛みはありましたがすぐに慣れるので日常生活に支障はありませんでした。
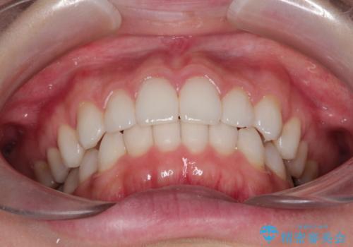
1周目が終わり、かなり綺麗になりましたがもう少し納得出来るまで続けたいという要望に答えてくださり、今2周目を終え本当に満足いく結果になりました。ありがとうございます。矯正を通して歯は意外と簡単に動くのだなと身をもって感じたのでこれからもリテーナーを怠らずつけ続けたいと思います。
マウスピース矯正の注意事項(リスク・副作用など)
- 口腔内・歯並びの状態によっては対応できない場合があります
- マウスピース型矯正装置の長時間装着(1日20時間以上)が必須です
- 治療計画通りに進めるためには、患者様の意志が重要になります
- 矯正治療後の保定が不十分だと後戻り(元の位置に戻ろうとする動き)をします
- 薬機法対象外の矯正歯科装置のため医薬品副作用被害救済制度の対象外となる場合があります
- 自費診療(保険適用外)となります
当サイトの内容、テキスト、画像等の無断転載、複製、複写、盗用を固く禁じます。
















