症例詳細
Case detail
歯周病は細菌による感染症 その予防をPMTCで
治療症例の内容
- 診療科目
- 治療カテゴリ
- 患者様
- 30代男性
- 治療期間
- 1日
- 治療回数
- 1回
- 治療計画
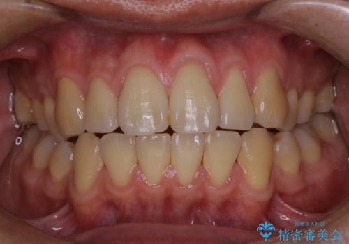
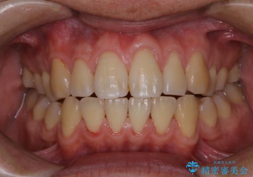
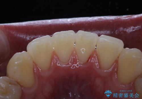
- 歯医者に来るのがかなり久しぶりで歯周病予防を希望とのことでした。コースはお任せでとのことだったので、お口の状態の確認をし、PMTC60分コースを行いました。
- 費用(概算)
- 1万円+tax費用は治療当時の料金となります
治療について
歯周病とは、細菌による感染症です。歯周病菌を取り除くには、歯周ポケットの中を機械的に掃除することです。
歯周病の原因は、歯にべったりと付着するプラーク(細菌の塊)や歯石です。そこから歯周病菌が引き起こす炎症により、歯を支える歯周組織が破壊され、最終的には歯が抜け落ちてしまうという怖い病気です。
もっとも、効果的な治療法がPMTC(歯科医院で専門的な機械や材料を使用してクリーニング)を定期的に行うことです。
担当歯科衛生士
表参道しらゆり歯科 DH西澤
PMTCの注意事項(リスク・副作用など)
- 歯を白くする目的の施術ではありません
- 保険適用外となります
当サイトの内容、テキスト、画像等の無断転載、複製、複写、盗用を固く禁じます。






