症例詳細
Case detail
矯正治療を考えている方の歯のクリーニング
治療症例の内容
- 診療科目
- 治療カテゴリ
- 患者様
- 30代男性
- 治療期間
- 1日
- 治療回数
- 1回
- 治療計画
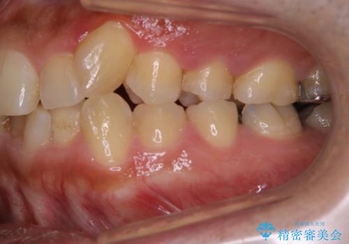
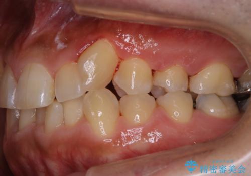
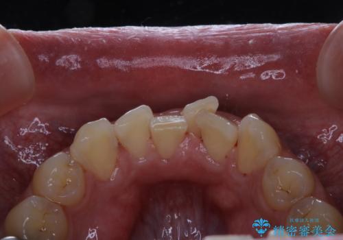
- 矯正治療を考えているため、まずはクリーニングを行いたいとのことで来院されました。PMTC30分コースを行いました。
- 費用(概算)
- 5千円+tax費用は治療当時の料金となります
治療について
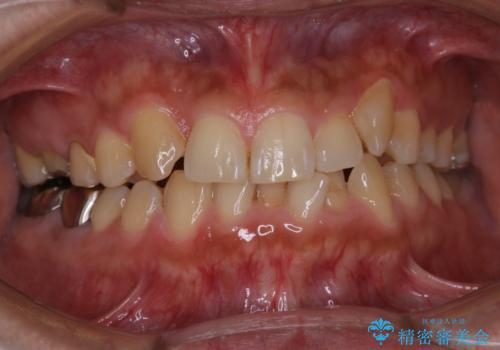
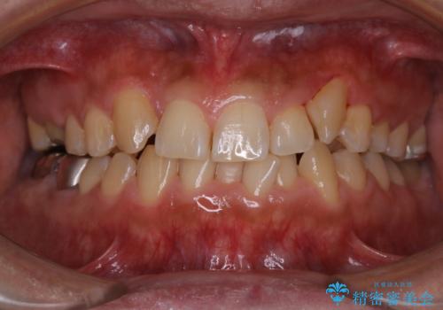
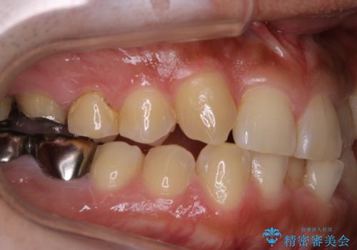
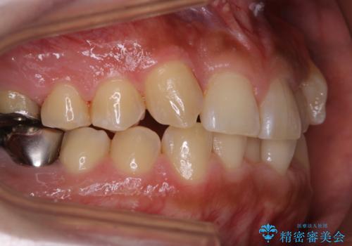
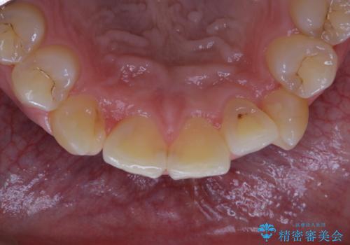
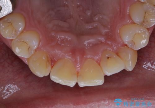
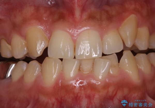
前歯メインにステインの付着が見られ、コース内容を相談した結果PMTC(保険外治療)の30分コースを行いました。
PMTCは30分コースと60分コースがあります。お口の中の状態を診断し適切なコースの説明・ご案内を行っています。
当日担当者と相談し、ご希望のコースを選択していただいております。
また、今後矯正治療を検討しているとのことだったので次回、矯正治療の無料カウンセリングをご案内しました。
担当担当歯科衛生士
表参道しらゆり歯科 DH 西澤
PMTCの注意事項(リスク・副作用など)
- 歯を白くする目的の施術ではありません
- 保険適用外となります
当サイトの内容、テキスト、画像等の無断転載、複製、複写、盗用を固く禁じます。












