症例詳細
Case detail
今後ホワイトニング予定の方のPMTC
治療症例の内容
- 診療科目
- 治療カテゴリ
- 患者様
- 40代女性
- 治療期間
- 1日
- 治療回数
- 1回
- 治療計画
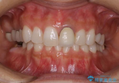
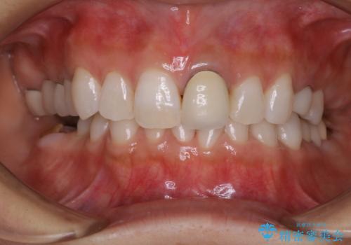
- 今後ホワイトニングを予定しているため、まずはしっかりとクリーニングしてほしいとのことで来院されました。PMTC30分コースを行いました。
- 費用(概算)
- 5千円+tax費用は治療当時の料金となります
治療について
今後、ホームホワイトニング予定との事で、クリーニングPMTC(保険適応外)30分コースを行いました。汚れを取り除き、ご自身の本来の歯の表面になることでツヤがでます。
歯の表面に汚れがついたままホワイトニングを行うと、ホワイトニングの効果が出づらいことがあります。
ホワイトニングご希望の場合は、まずクリーニングを行うことをおすすめします。
汚れがついたままだと、虫歯・歯周病・口臭などの原因にもなります。歯科医院での、定期的なクリーニングを行うことが大切です。
担当歯科衛生士
表参道しらゆり歯科 DH 西澤
PMTCの注意事項(リスク・副作用など)
- 歯を白くする目的の施術ではありません
- 保険適用外となります
当サイトの内容、テキスト、画像等の無断転載、複製、複写、盗用を固く禁じます。




