症例詳細
Case detail
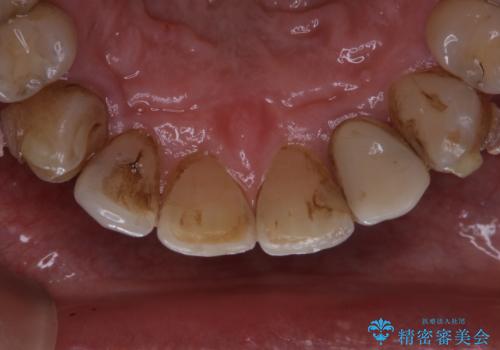
マウスピース矯正(インビザライン)中にコーヒの頑固な着色落としをPMTCで
治療症例の内容
- 診療科目
- 治療カテゴリ
- 患者様
- 40代男性
- 治療期間
- 1日
- 治療回数
- 1回
- 治療計画
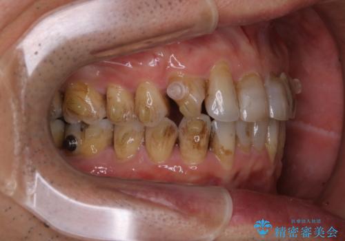
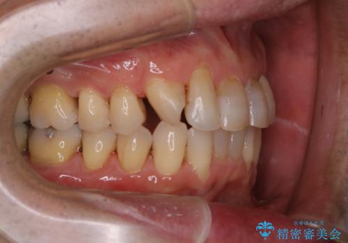
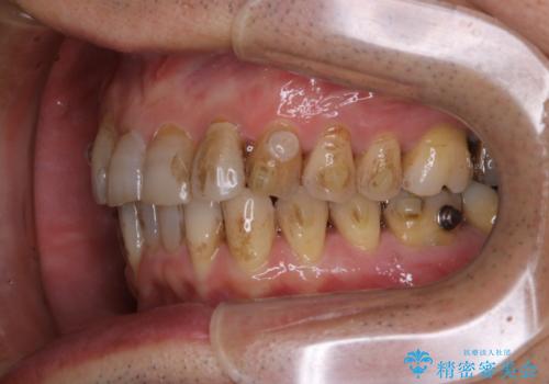
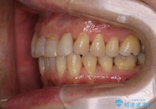
- インビザラインでの矯正中も、コーヒーを頻繁に飲むためステインが気になるとのことでした。PMTC60分コースでなんとかクリーニングを行いました。
- 費用(概算)
- 1万円+tax費用は治療当時の料金となります
治療について
インビザライン治療中には、歯の表面にアタッチメント(効率的に歯の移動をするもの)を設定します。そのため歯ブラシでは届きにくい細かい部分などに、歯石や着色がついてしまうことがあります。着色などを放置していると、着色なのか、虫歯なのかの判別もしずらく正確にお口の中の状態を診断できません。
矯正治療中も定期的に歯科医院にてPMTCを受けて、お口のケアを行うことをおすすめします。
どれくらいの頻度で行うことがベストか、コースについてなどは、その都度担当の歯科衛生士とご相談します。
PMTCのコースについて
PMTCは30分コース・60分コースがあります。
30分コースでは主に前歯をメインに行います。
60分コースでは全体的に行います。
お口の状態、ご希望に合わせて当日担当の歯科衛生士とご相談してから行うことが可能です。
※着色や歯石の量、お口の状態により60分コースでも全ての汚れを除去することができない場合もあります。
担当歯科衛生士
表参道しらゆり歯科 DH 西澤
PMTCの注意事項(リスク・副作用など)
- 歯を白くする目的の施術ではありません
- 保険適用外となります
当サイトの内容、テキスト、画像等の無断転載、複製、複写、盗用を固く禁じます。












