症例詳細
Case detail
60分のPMTCで歯の黄ばみをきれいに除去
治療症例の内容
- 診療科目
- 治療カテゴリ
- 患者様
- 20代男性
- 治療期間
- 1日
- 治療回数
- 1回
- 治療計画
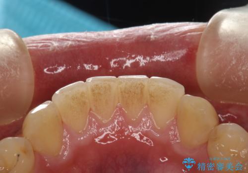
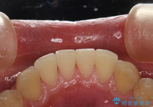
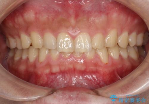
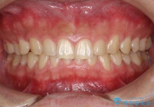
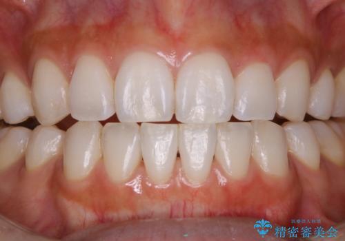
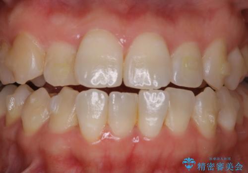
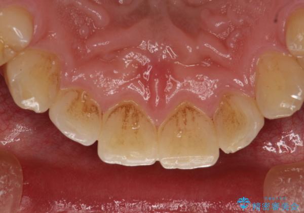
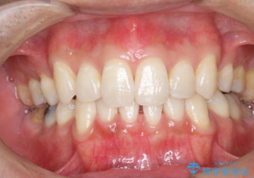
- 年末年始と忙しく、なかなか歯のケアがしっかりできなかった事と着色も気になるとのことで来院されました。PMTC60分コースを行いました。
- 費用(概算)
- 1万円+tax費用は治療当時の料金となります
治療について
歯の着色は日常の飲食物などからも付着してしまうことがあります。
代表的に、コーヒーやお茶、赤ワインなどの飲み物、カレー、チョコレート、ミートソースなどが着色しやすいと言われています。
ただし、日常生活で着色しやすい飲食物を避けたりすることはストレスに感じてしまったり、あまり現実的ではありません。
また、セルフケアで無理にブラッシングの際に強くゴシゴシとこすると、エナメル質が削れて余計に歯の色が濃くなってしまうこともあります。
歯科医院にて定期的に適切な処置を行うことが大切です。
担当歯科衛生士
表参道しらゆり歯科 DH 西澤
PMTCの注意事項(リスク・副作用など)
- 歯を白くする目的の施術ではありません
- 保険適用外となります
当サイトの内容、テキスト、画像等の無断転載、複製、複写、盗用を固く禁じます。






