症例詳細
Case detail
総合歯科ならではのメリット 矯正中にもPMTCを
治療症例の内容
- 診療科目
- 治療カテゴリ
- 患者様
- 30代女性
- 治療期間
- 1日
- 治療回数
- 1回
- 治療計画
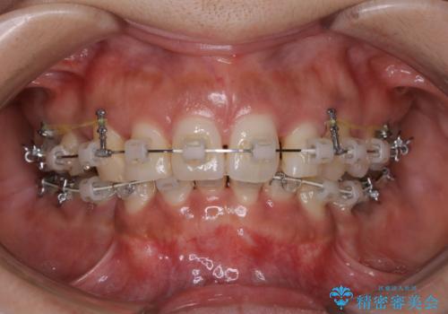
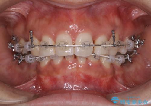
- ワイヤー矯正中にステインが気になるとのことでした。PMTC30分コースを行いました。
- 費用(概算)
- 5千円+tax費用は治療当時の料金となります
治療について
ワイヤー矯正中も、歯の表面に着色(ステイン)が付着することがあります。着色(ステイン)が付着したままだと審美的な問題以外にも、虫歯を発見しずらいことや、細菌が繫殖しやすくなることがあります。
そのため、以前よりも口臭が気になると言う方もいます。
クリーニングを行うことで、虫歯や歯周病・口臭予防に効果的だったり、もちろん見た目も審美的です。クリーニング後には、汚れが取り除かれ、お口の中がスッキリ・爽快感で気持ちがよくなります。
矯正治療中にも、虫歯や歯周病についてのケアが行えることは、総合歯科ならではのメリットです。まずはお悩みをご相談ください。
担当歯科衛生士
表参道しらゆり歯科 DH 西澤
PMTCの注意事項(リスク・副作用など)
- 歯を白くする目的の施術ではありません
- 保険適用外となります
当サイトの内容、テキスト、画像等の無断転載、複製、複写、盗用を固く禁じます。




