症例詳細
Case detail
PMTCで舌ざわりをツルツルに
治療症例の内容
- 診療科目
- 治療カテゴリ
- 患者様
- 20代男性
- 治療期間
- 1日
- 治療回数
- 1回
- 治療計画
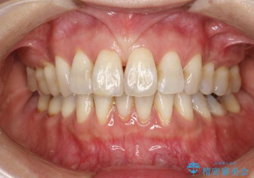
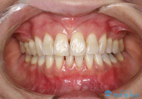
- 歯磨きをしても、歯のざらつきが気になるとのことで来院されました。PMTC60分コースを行いました。
- 費用(概算)
- 1万円+tax費用は治療当時の料金となります
治療について
PMTCでは隅々までスッキリとプラークや歯石などを取り除くため、施術後に舌でさわると歯の表面がツルツルします。これが汚れがしっかり落ちた、お口本来の感触です。この感触、気持ちよさを記憶しておくと毎日のホームケアでの磨き足りない部分の発見につながります。
お口の中のスッキリとした爽快感を実感できるのが、PMTCのメリットでもあります。
また、歯石がついた歯はザラつきがあるため、着色が付きやすい状態になります。定期的に歯科医院で専門のクリーニングを行い、仕上げにはトリートメントも行い歯にミネラルを補給し、なめらかにすることで、汚れや着色(ステイン)がつきにくくなります。
担当歯科衛生士
表参道しらゆり歯科 DH 西澤
PMTCの注意事項(リスク・副作用など)
- 歯を白くする目的の施術ではありません
- 保険適用外となります
当サイトの内容、テキスト、画像等の無断転載、複製、複写、盗用を固く禁じます。






