症例詳細
Case detail
歯科衛生士によるPMTCでお口のケア
治療症例の内容
- 診療科目
- 治療カテゴリ
- 患者様
- 40代男性
- 治療期間
- 1日
- 治療回数
- 1回
- 治療計画
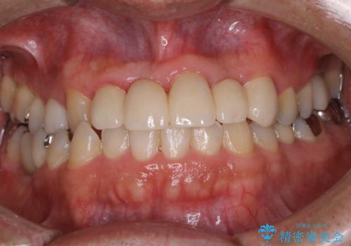
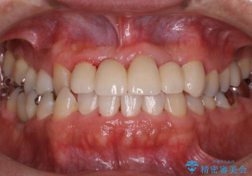
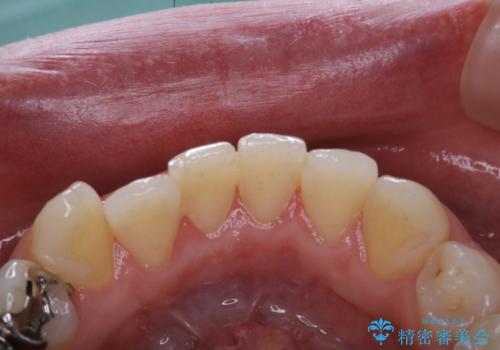
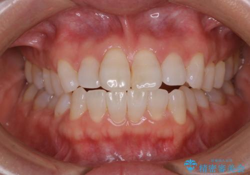
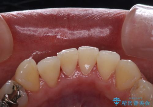
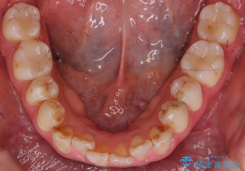
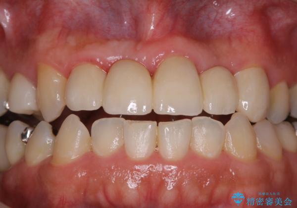
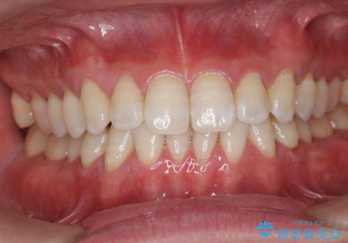
- 歯医者に来院することが久しぶりで、まずはクリーニングを希望とのことでした。コースや内容は、一番状態に合ったものでとのことだったため、PMTC60分コースを行いました。
- 費用(概算)
- 1万円+tax費用は治療当時の料金となります
治療について
PMTCとは「Professional Mechanical Tooth Cleaning」の略で、専用の機器を使った歯のクリーニングです。
PMTCは誰もが実施できるというわけではなく、歯科医師や歯科衛生士によるプロフェッショナルケアです。
審美的面だけではなく、歯周病や虫歯・口臭などのリスクを予防することができます。
汚れを除去することにより、症状の早期発見につながります。
定期的に歯科医院に来院し、PMTCを行うことが大切です。
担当歯科衛生士
表参道しらゆり歯科 DH 西澤
PMTCの注意事項(リスク・副作用など)
- 歯を白くする目的の施術ではありません
- 保険適用外となります
当サイトの内容、テキスト、画像等の無断転載、複製、複写、盗用を固く禁じます。






