症例詳細
Case detail
インビザラインと補助装置の併用による八重歯の抜歯矯正
治療症例の内容
- 診療科目
- 治療カテゴリ
- 担当医
- 患者様
- 20代女性
- 矯正装置
- インビザライン
- 治療期間
- 1年6ヶ月
- 治療回数
- 10-30回
- 治療計画
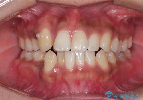
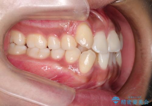
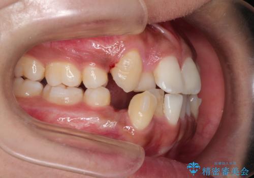
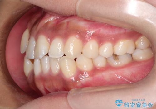
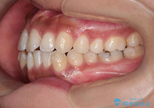
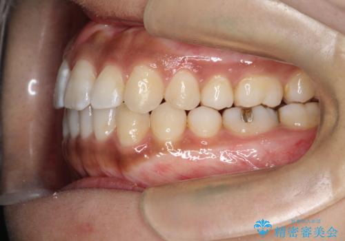
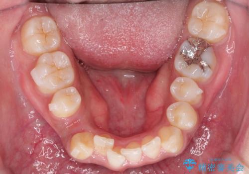
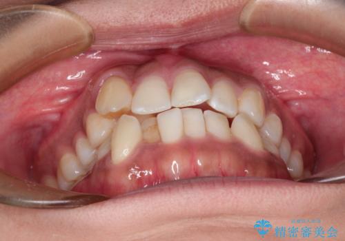
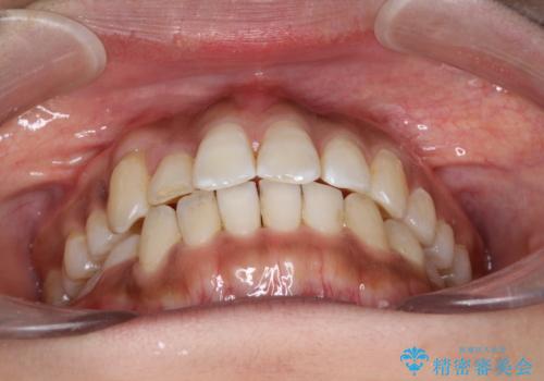
- 八重歯を治したいとのことで来院されました。
重なりが強い右側の上下の歯を1本ずつ抜歯する計画としました。
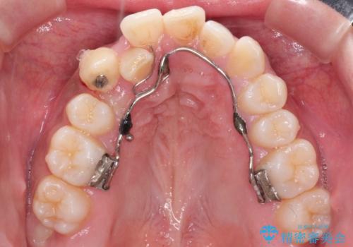
インビザラインでの治療がご希望でしたが、右上の歯のかさなりが強いところは、補助装置である程度動かしてからインビザラインに移行することにしました。
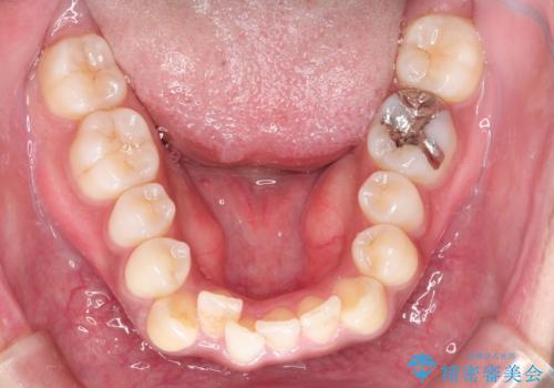
下顎はインビザラインのみで治療を行いました。
- 費用(概算)
- 約90万円費用は治療当時の料金となります
治療について
インビザラインだけで歯を動かすよりも、補助装置を併用することにより効率的に、短期間で治療を行うことができる場合があります。
マウスピース矯正の注意事項(リスク・副作用など)
- 口腔内・歯並びの状態によっては対応できない場合があります
- マウスピース型矯正装置の長時間装着(1日20時間以上)が必須です
- 治療計画通りに進めるためには、患者様の意志が重要になります
- 矯正治療後の保定が不十分だと後戻り(元の位置に戻ろうとする動き)をします
- 薬機法対象外の矯正歯科装置のため医薬品副作用被害救済制度の対象外となる場合があります
- 自費診療(保険適用外)となります
当サイトの内容、テキスト、画像等の無断転載、複製、複写、盗用を固く禁じます。

















