症例詳細
Case detail
見える金属を白くしたい、セラミック治療
治療症例の内容
- 診療科目
- 治療カテゴリ
- 担当医
- 吉﨑ゆりな(ドクタープロフィール)
- 患者様
- 20代女性
- 治療期間
- 1ヶ月
- 治療回数
- 2-5回
- 治療計画
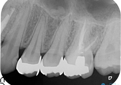
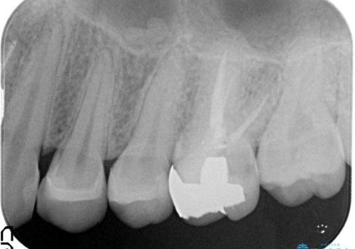
- 笑って見えるところの金属を白くしたいとのことで来院されました。
相談の結果、左上4,5のメタルインレーをセラミックインレーへと変更することとしました。
- 費用(概算)
- 14万円+tax費用は治療当時の料金となります
治療について
左上6は希望されなかったため、左上4,5のみをセラミックにやりかえています。
セラミック治療の注意事項(リスク・副作用など)
- 天然歯を削ります
- 硬い素材は天然歯を傷つけてしまう場合があります
- かみ合わせや歯ぎしりが強すぎる方はセラミックが割れてしまう可能性があります
- 自費診療(保険適用外治療)となります
当サイトの内容、テキスト、画像等の無断転載、複製、複写、盗用を固く禁じます。





