症例詳細
Case detail
奥歯がズキズキ痛い 根管治療
治療症例の内容
- 診療科目
- 治療カテゴリ
- 担当医
- 河口智英(ドクタープロフィール)
- 患者様
- 40代女性
- 治療期間
- 1ヶ月
- 治療回数
- 2-5回
- 治療計画
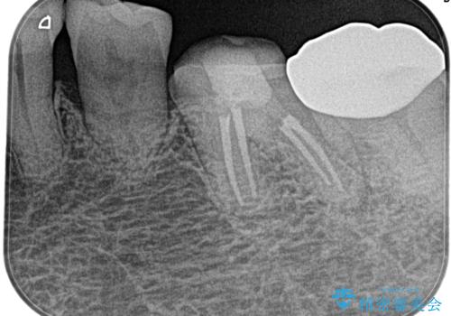
- 冷たいもので強い痛みがあり、1週間前ぐらいからズキズキ痛いことを主訴に来院されました。
患歯に冷温刺激に対し20秒の持続痛と打診を認めたため、不可逆性歯髄炎の診断とし治療を行なっております。
- 費用(概算)
- 精密根管治療(イニシャルケース,大臼歯):122,000円、ファイバーコア:22,000円費用は治療当時の料金となります
治療について
不可逆性歯髄炎と診断される場合は、経過観察を行なっても正常歯髄に戻る可能性は極めて低いため今回の処置のように抜髄の適応となります。
根管治療の注意事項(リスク・副作用など)
- 根管治療により類似の全ての症例の問題が解決するわけではなく、症例はあくまでも一例です
- 根管治療により痛みや腫れがひかない事や、術後に痛みや腫れが生じる事、治療によるファイル破折やパーフォレーションなどの偶発症、術後の歯根破折を生じる可能性もあります
- 自費診療(保険適用外)となります
当サイトの内容、テキスト、画像等の無断転載、複製、複写、盗用を固く禁じます。







