症例詳細
Case detail
PMTCで歯を綺麗に
治療症例の内容
- 診療科目
- 治療カテゴリ
- 患者様
- 50代女性
- 治療期間
- 1日
- 治療回数
- 1回
- 治療計画
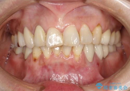
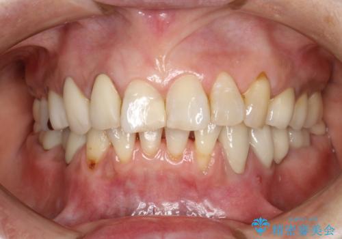
- 全体的に汚れが気になるとのことでクリーニング希望で来院されました。PMTC60分コースを行いました。
- 費用(概算)
- 1万円+tax費用は治療当時の料金となります
治療について
磨き残しや、汚れ・細菌などは歯の表面がザラザラしている部分につきやすくなります。PMTCを定期的に繰り返すことで歯の表面がツルツルの期間が長くなり、虫歯や歯周病の予防につながります。
PMTCは継続して定期的に受けることで歯に新しい汚れがつきにくい状態となります。
担当歯科衛生士
表参道しらゆり歯科 DH 西澤
PMTCの注意事項(リスク・副作用など)
- 歯を白くする目的の施術ではありません
- 保険適用外となります
当サイトの内容、テキスト、画像等の無断転載、複製、複写、盗用を固く禁じます。




