症例詳細
Case detail
歯磨きすると歯がしみる 結合組織移植による根面被覆
治療症例の内容
- 診療科目
- 治療カテゴリ
- 担当医
- 大元洋佑(ドクタープロフィール)
- 患者様
- 40代女性
- 治療期間
- 6ヶ月
- 治療回数
- 5-10回
- 治療計画
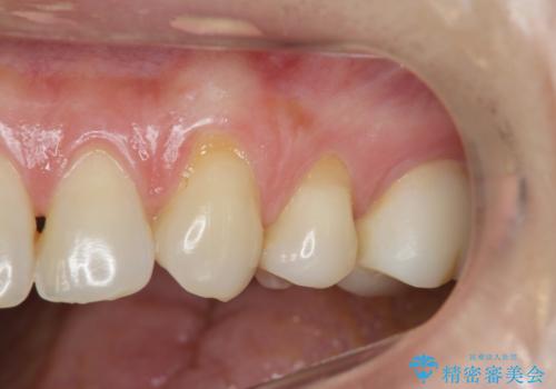
- 歯ブラシするたびに知覚過敏が辛く、改善を求めて来院されました。
過度なブラッシング圧により歯が削れてしまい、歯ぐきの下がりも認められます。
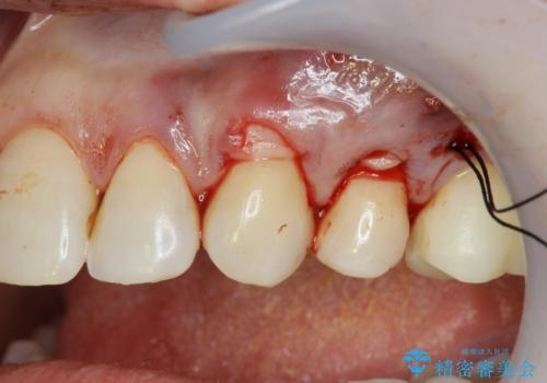
改善を図るため、結合組織移植を行い歯ぐきの再生を計画します。
- 費用(概算)
- 15万円費用は治療当時の料金となります
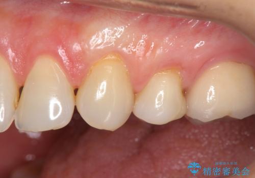
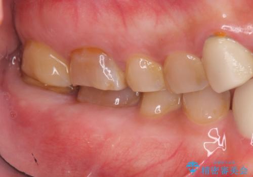
根面被覆について
手術を行い歯ぐきの位置が改善することで歯がしみる症状が大幅に改善されたと満足いただくことができました。
手術に合わせて歯ブラシの練習を行うことで再発を未然に防ぐことができます。
外科処置の注意事項(リスク・副作用など)
- 外科手術のため、術後に出血、痛みや腫れ、違和感を伴います
- 口腔内の状態によっては適応できないことがあります
当サイトの内容、テキスト、画像等の無断転載、複製、複写、盗用を固く禁じます。






