症例詳細
Case detail
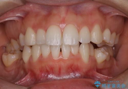
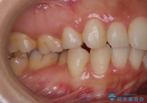
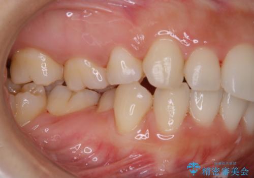
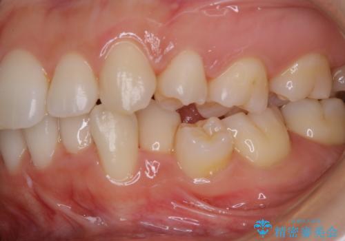
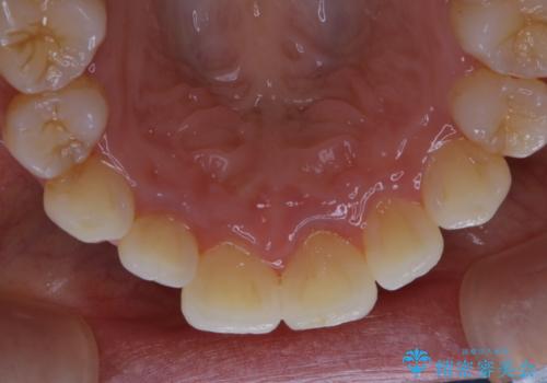
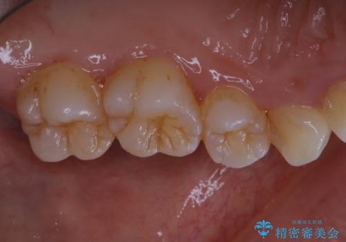
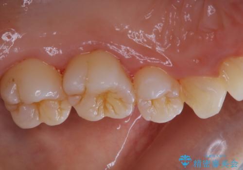
久々の来院で歯のクリーニング PMTC60分コース
治療症例の内容
- 診療科目
- 治療カテゴリ
- 患者様
- 30代女性
- 治療期間
- 1日
- 治療回数
- 1回
- 治療計画
- しばらく来院できなかったため、全体的にチェックとクリーニング希望でした。PMTC60分コースを行いました。
- 費用(概算)
- 1万円+tax費用は治療当時の料金となります
治療について
歯にステイン(着色)や歯石などが付着していると、汚れなのか虫歯なのかの判別が分かりにくく、正確な診断ができないことがあります。
そのため、定期的に専門的な機械や材料を使用したクリーニング(PMTC)をすることで、ご自身本来の歯の状態となります。より、健康なお口の維持をするためには、痛みや症状などが無くてもPMTCを行いお口の中の環境を綺麗にすることがおすすめです。
担当歯科衛生士
表参道しらゆり歯科 DH 西澤
PMTCの注意事項(リスク・副作用など)
- 歯を白くする目的の施術ではありません
- 保険適用外となります
当サイトの内容、テキスト、画像等の無断転載、複製、複写、盗用を固く禁じます。
















