症例詳細
Case detail
妊娠・出産後のPMTC
治療症例の内容
- 診療科目
- 治療カテゴリ
- 患者様
- 30代女性
- 治療期間
- 1日
- 治療回数
- 1回
- 治療計画
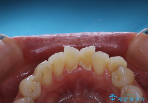
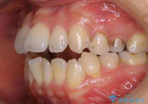
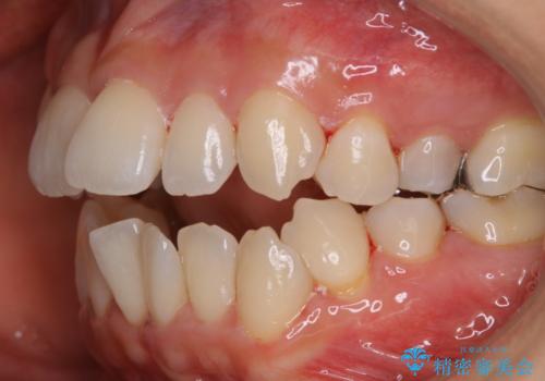
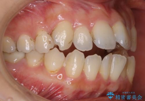
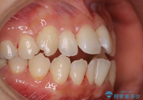
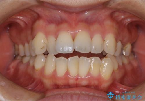
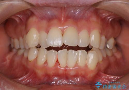
- 妊娠・出産があったため忙しく歯科医院でのクリーニングがかなり久しぶりとのことでした。全体的にしっかりとクリーニング希望とのことでPMTC60分コースを行いました。
- 費用(概算)
- 1万円+tax費用は治療当時の料金となります
治療について
妊娠すると、ホルモンの変化により唾液の分泌が減り、虫歯や歯周病予防のリスクが高くなることがあります。
また、出産後は生活スタイルも忙しくなり、歯磨きがおろそかになりがちとも言われています。お口の健康維持のためには妊娠・出産後になどにも定期的に歯科医院にて専門的なクリーニングを受けることがおすすめです。
担当歯科衛生士
表参道しらゆり歯科 DH 西澤
PMTCの注意事項(リスク・副作用など)
- 歯を白くする目的の施術ではありません
- 保険適用外となります
当サイトの内容、テキスト、画像等の無断転載、複製、複写、盗用を固く禁じます。











