症例詳細
Case detail
奥歯がなくなり咬めない インプラント治療による咬み合わせの回復
治療症例の内容
- 治療カテゴリ
- 担当医
- 患者様
- 60代女性
- 治療期間
- 1年3ヶ月
- 治療回数
- 5-10回
- 治療計画
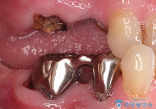
- 奥歯がとれてしまい、咬めないとのことで来院されました。
右上のかぶせ物がとれてしまい、残った根っこも虫歯になってしまっていました。
また右下の歯も虫歯と歯周病により長く使用するには難しい状態でした。
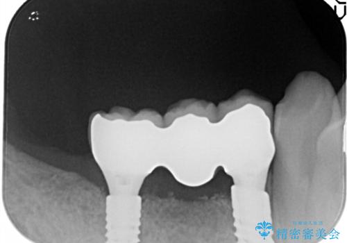
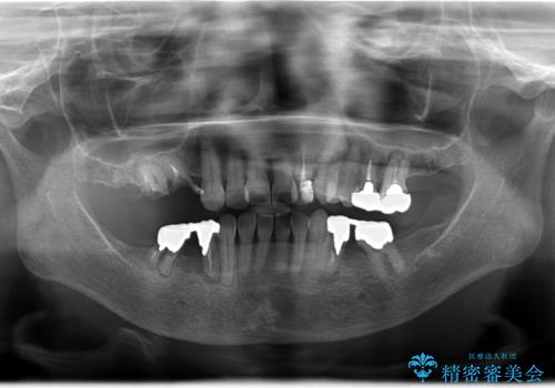
右の上下の歯を抜歯してインプラントを埋入して、かぶせ物を装着する計画としました。
- 費用(概算)
- 約200万円費用は治療当時の料金となります
治療について
右側のかみ合わせを回復するには、インプラントか入れ歯のどちらかの方法で治療する必要があました。
治療方法について十分な説明を行い、インプラント治療を選択されました。
インプラント治療の注意事項(リスク・副作用など)
- 外科手術のため、術後に痛みや腫れ、違和感を伴います
- メンテナンスを怠ったり喫煙により、お口の中に大きな悪影響を及ぼすインプラント周囲炎等にかかる可能性があります
- 糖尿病、肝硬変、心臓病等の場合、インプラント治療ができない可能性があります
- 高血圧、貧血・不整脈等の場合、インプラント治療後に治癒不全を招く可能性があります
- 自費診療(保険適用外治療)となります
当サイトの内容、テキスト、画像等の無断転載、複製、複写、盗用を固く禁じます。












