症例詳細
Case detail
歯科検診と歯のお掃除
治療症例の内容
- 診療科目
- 治療カテゴリ
- 患者様
- 20代男性
- 治療期間
- 1日
- 治療回数
- 1回
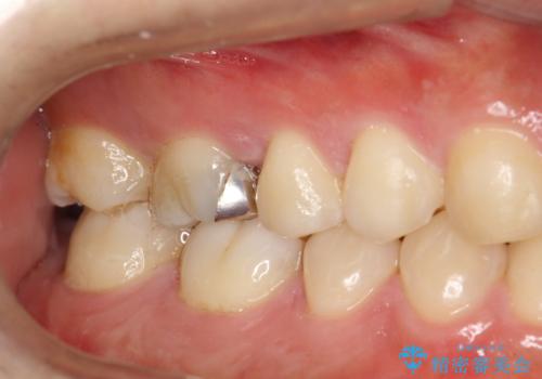
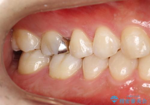
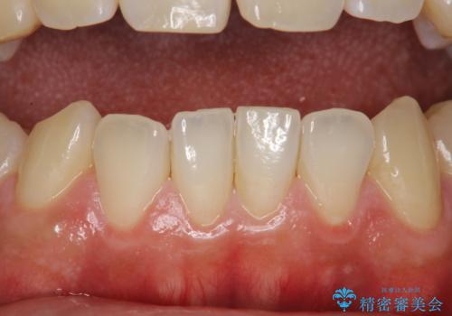
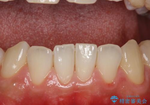
- 治療計画
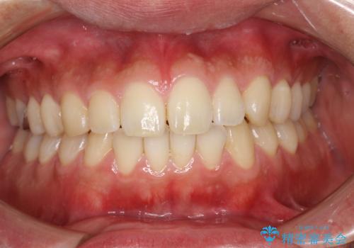
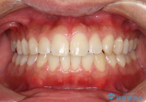
- 虫歯がないかのチェックと歯のクリーニング希望とのことで来院されました。PMTC30分コースを行いました。クリーニング後には、虫歯チェックも行いました。
- 費用(概算)
- 5千円+tax費用は治療当時の料金となります
治療について
PMTCを定期的に行い、お口の中を清潔に保つことで長期的に健康なお口の状態でいられることにつながりなす。毎日かかさず食べる・飲む・噛む・話すなど当たり前の日常生活を快適に送れるように、歯科衛生士による専門的なクリーニングでサポートさせていただきたいと思います。
日常で痛みや症状がなくても、定期的に歯科医院にてお口の状態のチェックやクリーニングを行うことが大切です。
担当歯科衛生士
表参道しらゆり歯科 DH 西澤
PMTCの注意事項(リスク・副作用など)
- 歯を白くする目的の施術ではありません
- 保険適用外となります
当サイトの内容、テキスト、画像等の無断転載、複製、複写、盗用を固く禁じます。








