症例詳細
Case detail
インビザライン矯正治療の型どり前にPMTC
治療症例の内容
- 診療科目
- 治療カテゴリ
- 患者様
- 20代女性
- 治療期間
- 1日
- 治療回数
- 1回
- 治療計画
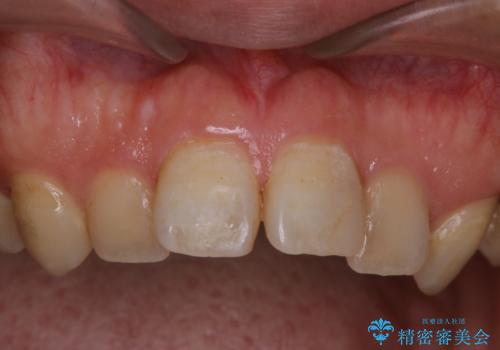
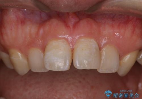
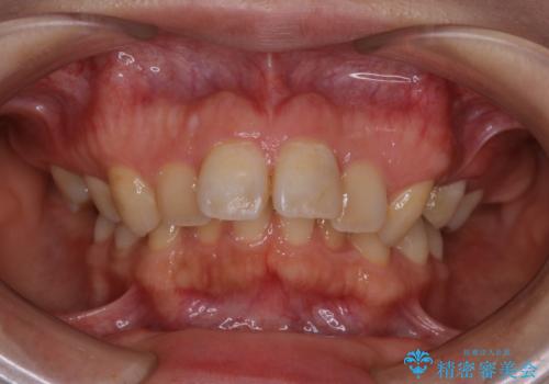
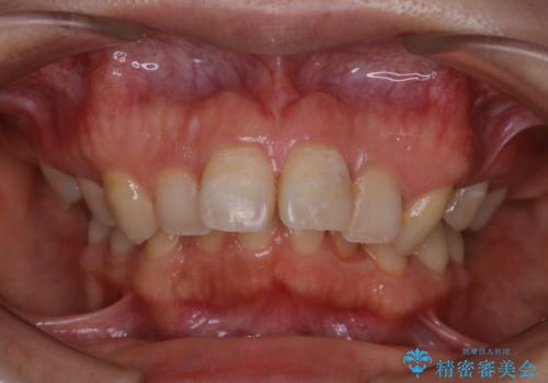
- インビザライン矯正治療の開始前にキレイな状態にしたいとのことでした。PMTC30分コースを行ってからインビザラインの型どりを行いました。
- 費用(概算)
- 5千円+tax費用は治療当時の料金となります
治療について
インビザラインの型どり・スキャニング(光学3Dスキャナー「iTero Element」)の前に、プラークや歯石・ステインを除去することで、ご自身本来の歯の状態となるため、綺麗なスキャニングが行えます。より精度のよいマウスピースを作成するために、PMTCを行うことをおすすめしています。
担当歯科衛生士
表参道しらゆり歯科 DH 西澤
PMTCの注意事項(リスク・副作用など)
- 歯を白くする目的の施術ではありません
- 保険適用外となります
当サイトの内容、テキスト、画像等の無断転載、複製、複写、盗用を固く禁じます。






