症例詳細
Case detail
人生で初めての歯のクリーニング PMTC
治療症例の内容
- 診療科目
- 治療カテゴリ
- 患者様
- 70代男性
- 治療期間
- 1日
- 治療回数
- 1回
- 治療計画
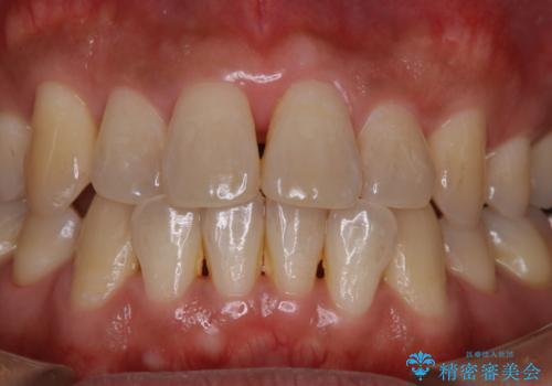
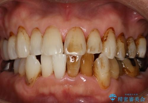
- 今まで、歯のクリーニングをしたことがなく、前歯の色が気になるとのことで来院されました。前歯のみのPMTC 30分コースを行いました。
- 費用(概算)
- 5千円+tax費用は治療当時の料金となります
治療について
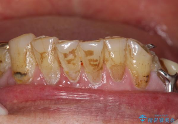
クリーニング後に、歯の表面に、黒や茶色に色が残っている所がありますが、これは虫歯や、詰め物の変色によるものです。以前に、CR(コンポジットレジン)による虫歯治療がされています。
CRは経年的劣化や、着色してしまうことがあります。PMTCでクリーニングを行うと、古いCRが目立つことがあるため、気になる際は詰め替えを行います。
また、新たに虫歯が発見されることもあります。
黒や茶色くなっている部分が、着色なのか、劣化なのか、虫歯によるものなのかを判別するためには、定期的にPMTCを行うことで汚れの除去をし、状態の確認が的確に行えます。
担当歯科衛生士
表参道しらゆり歯科 DH西澤
PMTCの注意事項(リスク・副作用など)
- 歯を白くする目的の施術ではありません
- 保険適用外となります
当サイトの内容、テキスト、画像等の無断転載、複製、複写、盗用を固く禁じます。


