症例詳細
Case detail
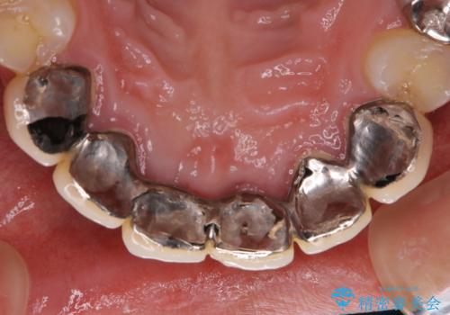
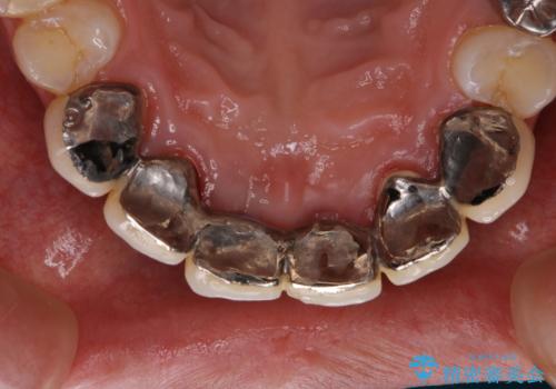
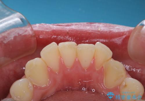
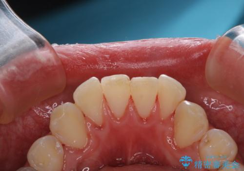
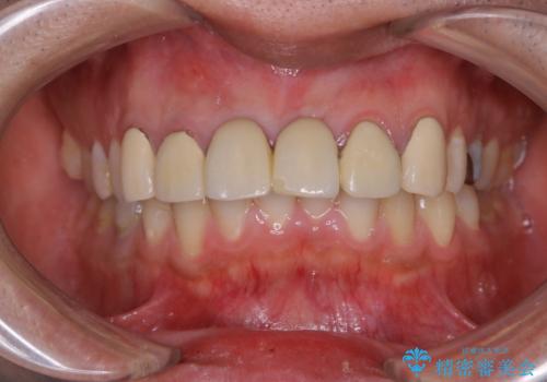
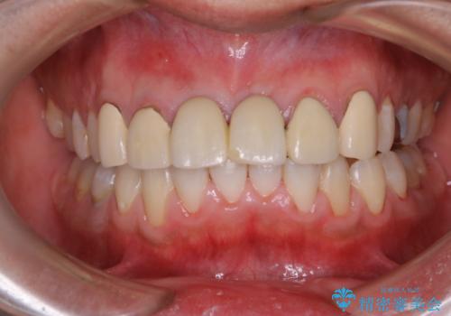
1年ぶりのPMTC
治療症例の内容
- 診療科目
- 治療カテゴリ
- 患者様
- 30代男性
- 治療期間
- 1日
- 治療回数
- 1回
- 治療計画
- 1年ぶりに歯科医院でのクリーニング希望とのことで来院されました。PMTC60分コースを行いました。
- 費用(概算)
- 1万円+tax費用は治療当時の料金となります
治療について
歯を長持ちさせるための対策では、PMTC を定期的に行うこともひとつです。
当医院では虫歯や歯周病の予防・再発の予防などと、患者様の歯の健康を保つためプロフェッショナルクリーニングを行っています。
痛みや症状が無くても、定期的に歯科医院にて専門的なクリーニングを行う必要があります。
セルフケアだけでなくプロフェッショナルケアとの両輪を行うことで、健康なお口とからだを守ることにつながります。
担当歯科衛生士
表参道しらゆり歯科 DH西澤
PMTCの注意事項(リスク・副作用など)
- 歯を白くする目的の施術ではありません
- 保険適用外となります
当サイトの内容、テキスト、画像等の無断転載、複製、複写、盗用を固く禁じます。









