症例詳細
Case detail
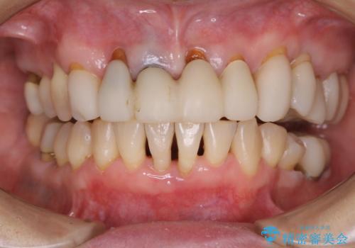
ワインによる着色をPMTCでキレイに
治療症例の内容
- 診療科目
- 治療カテゴリ
- 患者様
- 50代女性
- 治療期間
- 1日
- 治療回数
- 1回
- 治療計画
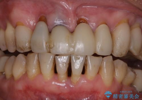
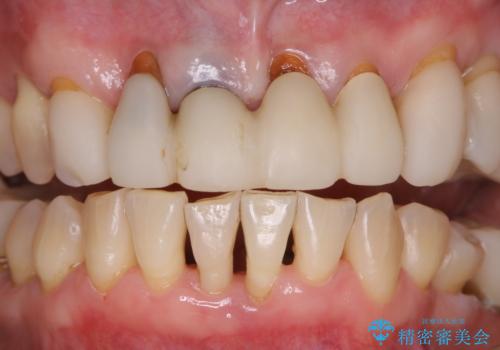
- ワインによる着色により、治療中の仮歯や全体的に見た目が気になるとのことで来院されました。PMTC60分コースを行いました。
- 費用(概算)
- 1万円+tax費用は治療当時の料金となります
治療について
PMTCとはプロフェッショナル・メカニカル・トゥース・クリーニングの略です。
専門的な機械や器具を使用して歯のクリーニングを行います。
口の中には、目には見えない細菌がたくさんいます。歯周病は細菌による感染症です。歯面のプラークや着色(ステイン)など、細菌をしっかり除去し、治療の妨げにならないよう、治療中にPMTCを行うことも大切です。
担当歯科衛生士
表参道しらゆり歯科 DH 西澤
PMTCの注意事項(リスク・副作用など)
- 歯を白くする目的の施術ではありません
- 保険適用外となります
当サイトの内容、テキスト、画像等の無断転載、複製、複写、盗用を固く禁じます。








