症例詳細
Case detail
口臭予防のため歯科医院での歯の掃除 PMTC
治療症例の内容
- 診療科目
- 治療カテゴリ
- 患者様
- 50代女性
- 治療期間
- 1日
- 治療回数
- 1回
- 治療計画
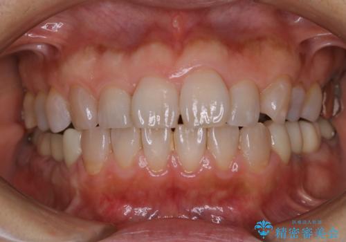
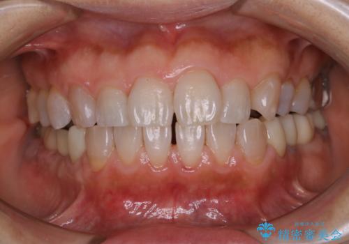
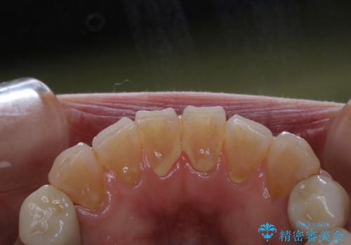
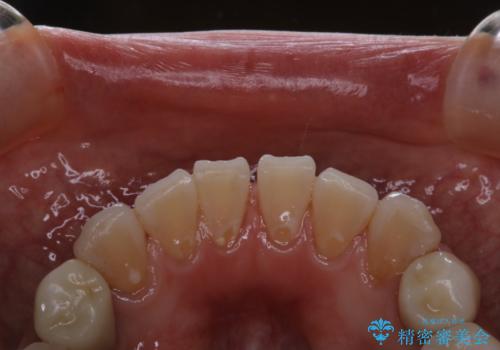
- 口臭予防のためクリーニングをしたいとのことで来院されました。PMTC60分コースを行いました。
- 費用(概算)
- 1万円+tax費用は治療当時の料金となります
治療について
PMTC(自費クリーニング)60分コースを行いました。
PMTCとはProfessinnal Mechanical Tooth Cleaning・専門器具による歯の機械的な清掃です。
外からは見えない歯周ポケットに汚れが溜まると、歯周病菌が増殖します。歯ブラシが届かない汚れには、歯科でのクリーニングが必要です。
PMTCで、バイオフィルム(細菌の塊)を破壊し、歯の表面をツルツルにすることでお口の中の細菌数を減らし歯周病のリスクが定着するのを防ぎます。更に、歯に新しい汚れがつきにくい状態になります。
バイオフィルムが除去されると、ご自身本来の歯の表面になります。PMTCをすることで口臭予防にもなり、定期的に行うことが大切です。
担当歯科衛生士
表参道しらゆり歯科 DH 西澤
PMTCの注意事項(リスク・副作用など)
- 歯を白くする目的の施術ではありません
- 保険適用外となります
当サイトの内容、テキスト、画像等の無断転載、複製、複写、盗用を固く禁じます。






