症例詳細
Case detail
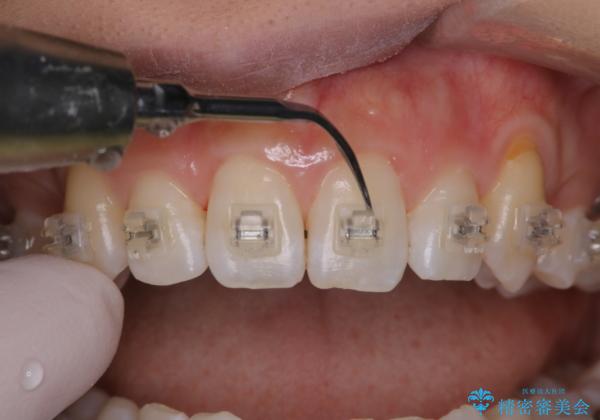
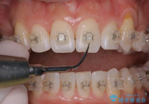
ワイヤー矯正中のPMTC
治療症例の内容
- 診療科目
- 治療カテゴリ
- 患者様
- 20代女性
- 治療期間
- 1日
- 治療回数
- 1回
- 治療計画
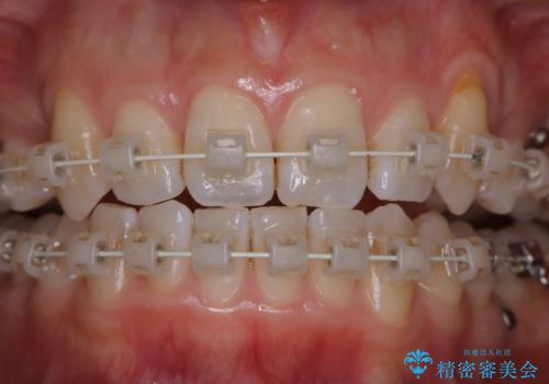
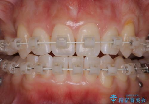
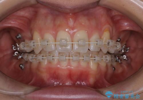
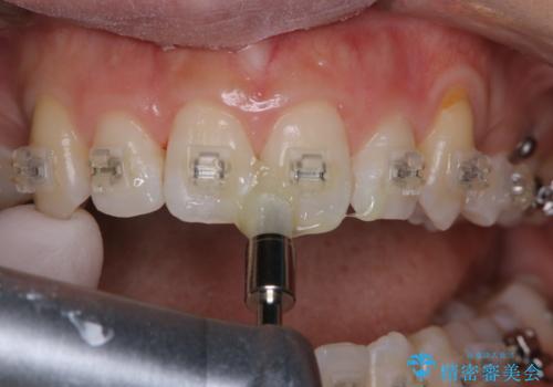
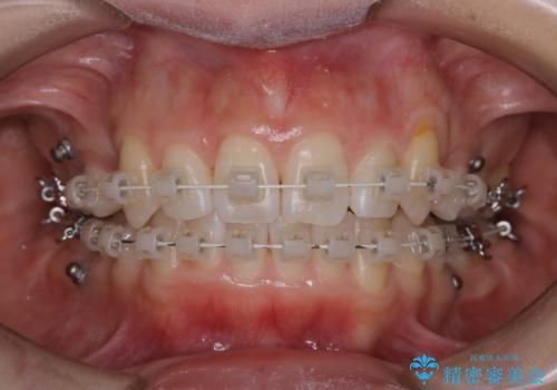
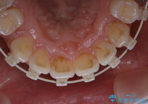
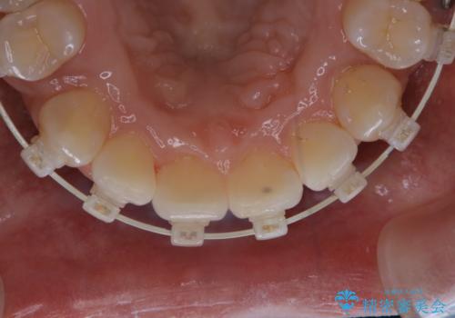
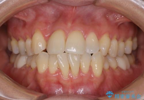
- ワイヤー矯正中に装置の周りの着色が気になるとのことで来院されました。PMTC30分コースを行いました。
- 費用(概算)
- 5千円+tax費用は治療当時の料金となります
治療について
ワイヤー矯正中も、歯の表面に着色(ステイン)が付着することがあります。着色(ステイン)が付着したままだと審美的な問題以外にも、虫歯を発見しずらいことや、細菌が繫殖しやすくなることがあります。クリーニングを行うことで、虫歯や歯周病予防に効果的だったり、もちろん見た目も審美的です。クリーニング後には、汚れが取り除かれ、お口の中がスッキリ・爽快感で気持ちがよくなります。矯正中も定期的にPMTCを行うことが大切です。
担当歯科衛生士
表参道しらゆり歯科 DH 西澤
PMTCの注意事項(リスク・副作用など)
- 歯を白くする目的の施術ではありません
- 保険適用外となります
当サイトの内容、テキスト、画像等の無断転載、複製、複写、盗用を固く禁じます。








 
                       
                                                          







 
                   
                   
                  