症例詳細
Case detail
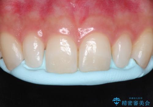
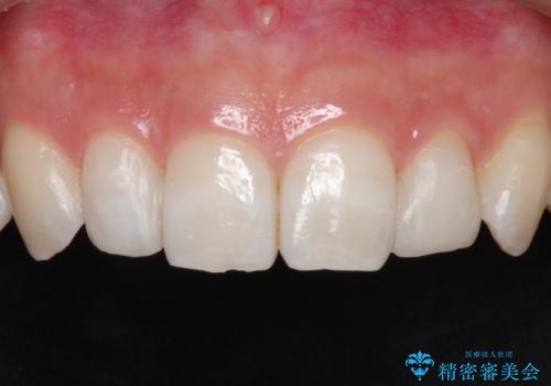
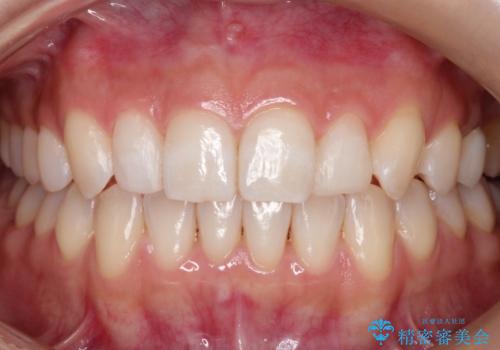
【矮小歯】ダイレクトボンディングによる歯冠修復
治療症例の内容
- 担当医
- 河口智英(ドクタープロフィール)
- 患者様
- 20代女性
- 治療期間
- 治療回数
- 2-5回
- 治療計画
- 矮小歯の歯冠修復を主訴に来院されました。
ダイレクトボンディングによる修復を希望され処置を行っております。
- 費用(概算)
- 7万円費用は治療当時の料金となります
治療について
ダイレクトボンディングによる治療は材質の特徴上、経年変化を受けやすいためやりかえが必要となる可能性があります。
セラミック治療の注意事項(リスク・副作用など)
- 天然歯を削ります
- 硬い素材は天然歯を傷つけてしまう場合があります
- かみ合わせや歯ぎしりが強すぎる方はセラミックが割れてしまう可能性があります
- 自費診療(保険適用外治療)となります
当サイトの内容、テキスト、画像等の無断転載、複製、複写、盗用を固く禁じます。





