症例詳細
Case detail
銀歯がしみる PGA(ゴールド)インレーへ 40代女性
治療症例の内容
- 診療科目
- 治療カテゴリ
- 担当医
- 患者様
- 40代女性
- 治療期間
- 1ヶ月
- 治療回数
- 2-5回
- 治療計画
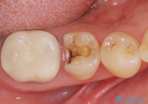
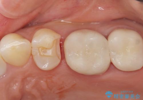
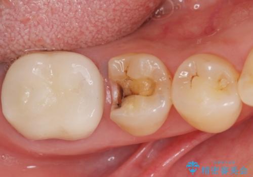
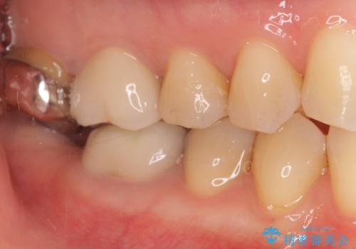
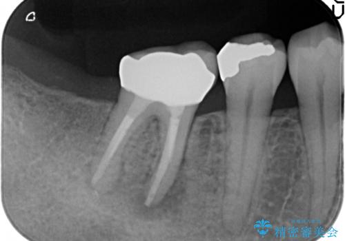
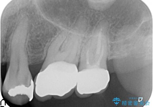
- 銀歯がしみることを主訴に来院されました。
 (以前、当院で矯正と補綴治療を行った患者様です。→https://seimitsushinbi.jp/case/9774/ )
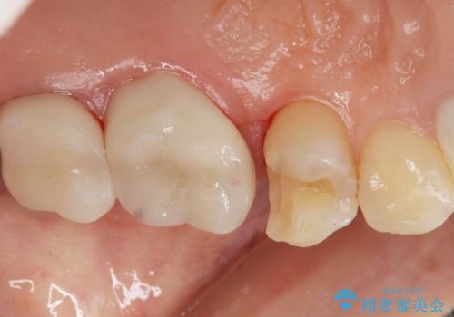
 銀のつめものを除去したところ、大きなう蝕を認めました。
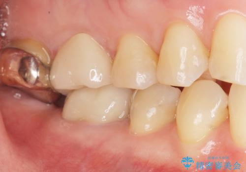
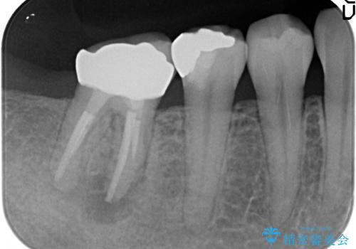
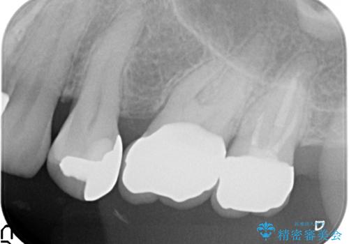
 咬合力が強いため、割れる心配がなく強度の高いPGA(ゴールド)インレーをご希望されました。
- 費用(概算)
- ¥120,000 ...PGA(ゴールド)インレー×2費用は治療当時の料金となります
治療について
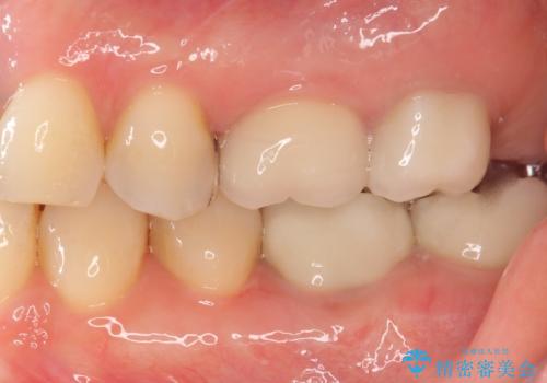
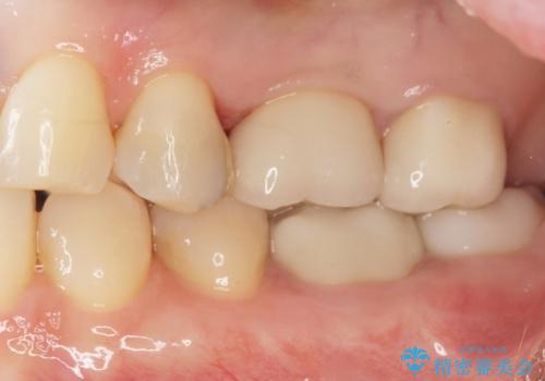
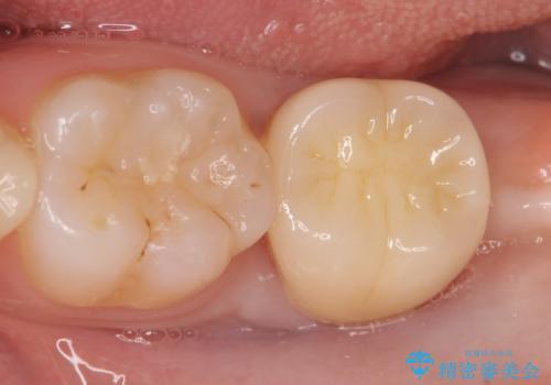
治療後はしみなくなり、違和感のない自然な咬み心地にご満足頂けました。
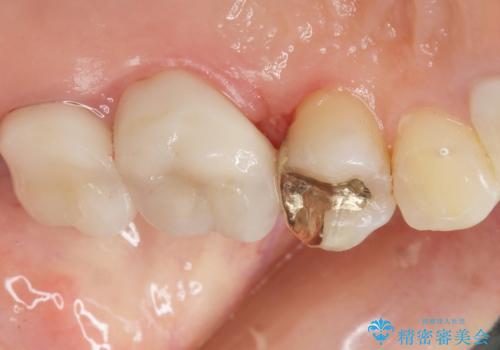
「割れる心配のないゴールドにしたいけれど、目立ってしまうかしら...」と心配されており、不要に歯質を削合しないよう注意を払い最小限の大きさのインレーを装着したところ、「あまり目立たなくて良かった!」とおっしゃって下さいました。
PGA(ゴールド)治療について
PGAとはプラチナ(白金)とゴールド(金)が主体のプラチナ金合金です。
化学的な安定性が高いため変色や腐食がほとんどなく、アレルギーなども起こりにくい人体に優しい素材です。
(保険適用の銀歯に用いられる金銀パラジウム合金は、硬さは優れていますが経時的にお口の中で金属が溶け、アレルギーを起こす可能性が比較的高いです。)
硬さが天然歯に近いため周囲の歯への影響も少なく、さらに適合もよいため虫歯の再発リスクも軽減できます。
金属なので強度が高く、咬合力の強い方や力が強くかかる部位に適しています。
またセラミックよりPGAの方が歯の切削量が少なく済むため、しみるリスクを抑えることができます。
審美面でセラミックに劣りますが、奥歯の治療には最適な材料です。
PGA(ゴールド)クラウン、インレーの注意事項(リスク・副作用など)
- インレーおよびクラウンは脱離するリスクがあります
- 形成量はセラミックより少ないですが、歯の形成、修復後に歯に症状が出ることがあります
- 自費診療(保険適用外治療)となります
当サイトの内容、テキスト、画像等の無断転載、複製、複写、盗用を固く禁じます。








 
                       
                                                          

















 
                   
                   
                  