症例詳細
Case detail
PMTCでオーラルケア
治療症例の内容
- 診療科目
- 治療カテゴリ
- 患者様
- 40代女性
- 治療期間
- 1日
- 治療回数
- 1回
- 治療計画
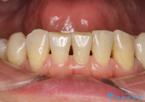
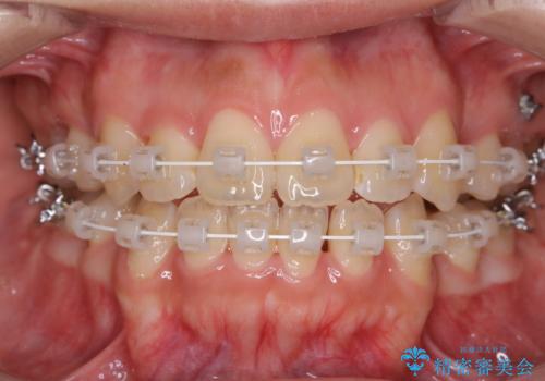
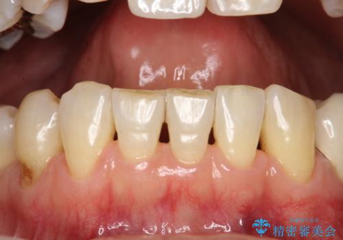
- 定期的にメンテナンスにいらしている方です。特にお変わりないとのことでPMTC60分コースで全体的なクリーニングを行いました。
- 費用(概算)
- 1万円+tax費用は治療当時の料金となります
治療について
オーラルケアをしっかりと行うことで、きれいな口もとだけでなく、全身の健康にもつながります。
治療せず放置してある歯周病は、口の中で細菌を培養しているのと同じことです。歯周組織が大きく壊れてしまう前に初期の炎症を止め、口と体の健康を維持できることが大切です。
担当歯科衛生士
表参道しらゆり歯科 DH 西澤
PMTCの注意事項(リスク・副作用など)
- 歯を白くする目的の施術ではありません
- 保険適用外となります
当サイトの内容、テキスト、画像等の無断転載、複製、複写、盗用を固く禁じます。


