症例詳細
Case detail
invisalign矯正治療中のPMTC クリーニング
治療症例の内容
- 診療科目
- 治療カテゴリ
- 患者様
- 30代女性
- 治療期間
- 1日
- 治療回数
- 1回
- 治療計画
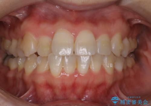
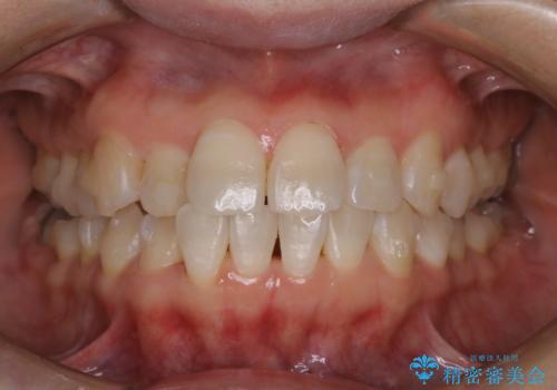
- 矯正治療中にもしっかりとメンテナンスをしたいとのことでした。PMTC30分コースを行いました。
- 費用(概算)
- 5千円+tax費用は治療当時の料金となります
治療について
矯正治療中は虫歯や歯周病リスクが高くなります。
インビザライン矯正治療はマウスピースを長時間使用するため、歯石や汚れなどが付着したままだと、フィットが悪くなったり、口臭が強く出たりする原因につながることもあります。
矯正治療(インビザライン、ワイヤー矯正)の経過で来院の際、ご希望の場合はクリーニングの予約も同時に取ることが可能です。
ぜひ定期的なクリーニングをおすすめします。
担当歯科衛生士
表参道しらゆり歯科 DH 西澤
PMTCの注意事項(リスク・副作用など)
- 歯を白くする目的の施術ではありません
- 保険適用外となります
当サイトの内容、テキスト、画像等の無断転載、複製、複写、盗用を固く禁じます。




