症例詳細
Case detail
歯科矯正治療前のクリーニング PMTC
治療症例の内容
- 診療科目
- 治療カテゴリ
- 患者様
- 20代女性
- 治療期間
- 1日
- 治療回数
- 1回
- 治療計画
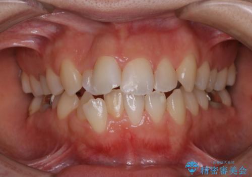
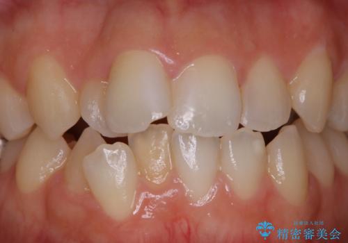
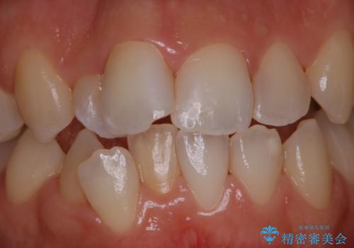
- これから矯正治療を行うことになったので、まずはしっかりお掃除してほしいとのことでした。お口の全体的なクリーニングPMTC 60分コースを行いました。
- 費用(概算)
- 1万円+tax費用は治療当時の料金となります
治療について
PMTCは、国家資格取得者の歯科衛生士により、専門的な機械や材料を使用してのクリーニングです。一人一人の患者様のお口の状態に合わせたクリーニングを行います。
矯正治療は、歯を動かすため歯肉にも負担がかかります。そのため、矯正前にしっかりクリーニングを行い健康なお口の状態にしておくことが大切です。
また、PMTCでは隅々までしっかりとプラークを取り除くため、施術後に舌でさわると歯の表面がツルツルします。これがプラークがしっかり落ちた、お口本来の感触です。この感触、気持ちよさを記憶しておくと毎日のホームケアでの磨き足りない部分の発見につながります。
お口の中のスッキリとした爽快感を実感できるのが、PMTCのメリットでもあります。
担当歯科衛生士
表参道しらゆり歯科 DH 西澤
PMTCの注意事項(リスク・副作用など)
- 歯を白くする目的の施術ではありません
- 保険適用外となります
当サイトの内容、テキスト、画像等の無断転載、複製、複写、盗用を固く禁じます。




