症例詳細
Case detail
コーヒーの着色落としをPMTCでキレイに
治療症例の内容
- 診療科目
- 治療カテゴリ
- 患者様
- 30代男性
- 治療期間
- 1日
- 治療回数
- 1回
- 治療計画
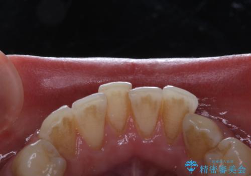
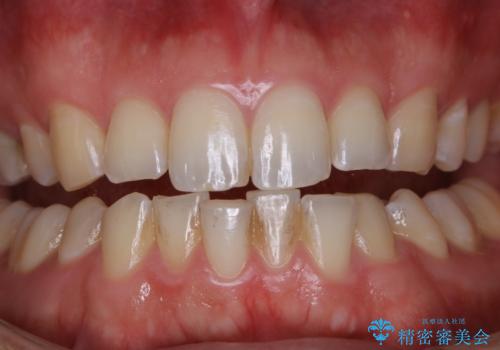
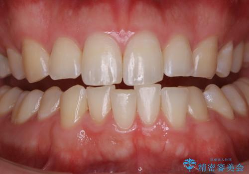
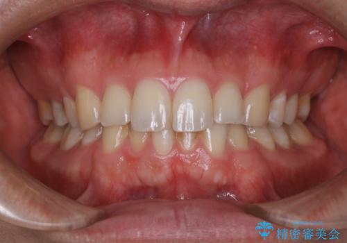
- コーヒが好きで、ステインが付くことが気になるとのことで来院されました。PMTC30分コースを行いました。
- 費用(概算)
- 5千円+tax費用は治療当時の料金となります
治療について
PMTCでは、歯のトリートメントも行います。
毎日の歯磨きや飲食などにより、歯の表面に細かい傷がついてしまうため、その傷にステインや汚れなどが付着してしまいます。
トリートメントでは、歯の表面にミネラルや栄養分を補給します。
定期的に専門的な機械や材料を使用してのクリーニングを行うことで、歯質の強化になり、ステインや汚れが付きにくい状態となります。
普段の飲食物・歯磨き・生活習慣などにより着色の付き具合には個人差があります。どれくらいの頻度で行うことがベストかは、その都度担当の歯科衛生士とご相談します。
担当歯科衛生士
表参道しらゆり歯科 DH 西澤
PMTCの注意事項(リスク・副作用など)
- 歯を白くする目的の施術ではありません
- 保険適用外となります
当サイトの内容、テキスト、画像等の無断転載、複製、複写、盗用を固く禁じます。








