症例詳細
Case detail
歯と歯の間に食べ物がつまる、金属を白くしたい、セラミックインレーにて修復
治療症例の内容
- 診療科目
- 治療カテゴリ
- 担当医
- 吉﨑ゆりな(ドクタープロフィール)
- 患者様
- 40代女性
- 治療期間
- 1ヶ月
- 治療回数
- 2-5回
- 治療計画
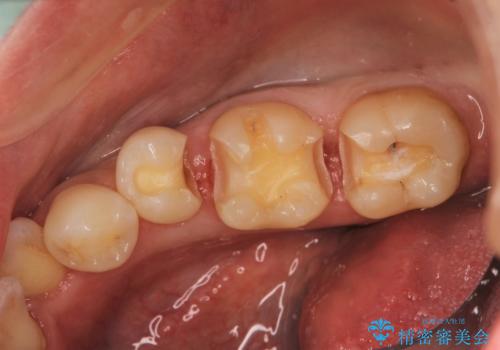
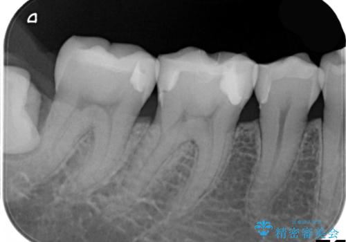
- 右下の奥の歯と歯の間に食べ物がつまること、つまったものがなかなか取れないことを主訴に来院されました。
右下6,7間に隙間があり、つめものの境目から虫歯になっていました。
セラミック希望とのことで、手前の歯も一緒に金属を外してセラミックにて修復することになりました。
- 費用(概算)
- 21万円+tax費用は治療当時の料金となります
治療について
セラミックでより自然な色合いに、かつ歯の形を修正することで物のつまりやすさを改善することもでき、大変満足していただけました。
セラミック治療の注意事項(リスク・副作用など)
- 天然歯を削ります
- 硬い素材は天然歯を傷つけてしまう場合があります
- かみ合わせや歯ぎしりが強すぎる方はセラミックが割れてしまう可能性があります
- 自費診療(保険適用外治療)となります
当サイトの内容、テキスト、画像等の無断転載、複製、複写、盗用を固く禁じます。





