症例詳細
Case detail
歯のお掃除 PMTC
治療症例の内容
- 診療科目
- 治療カテゴリ
- 患者様
- 20代男性
- 治療期間
- 1日
- 治療回数
- 1回
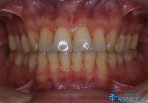
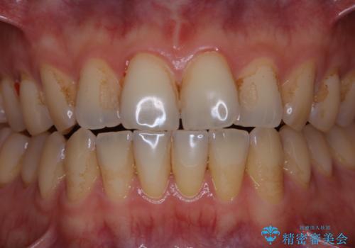
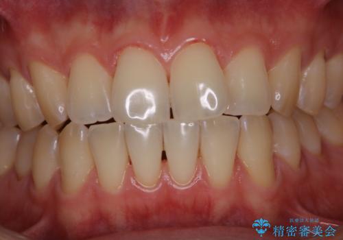
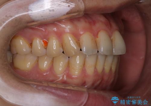
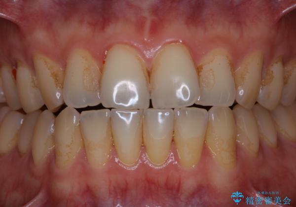
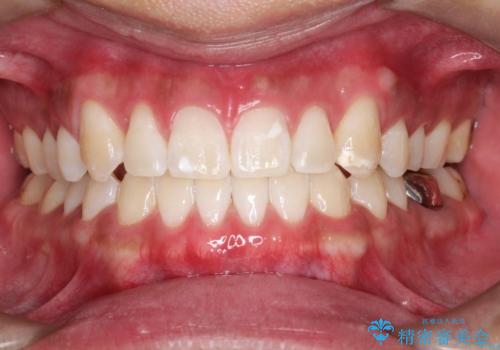
- 治療計画
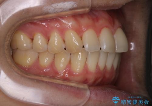
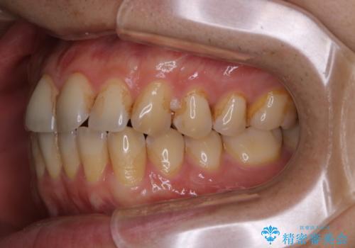
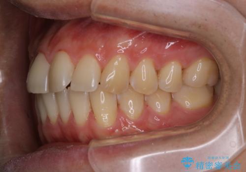
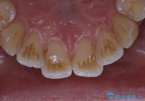
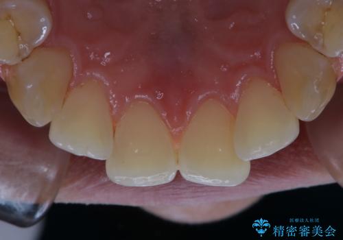
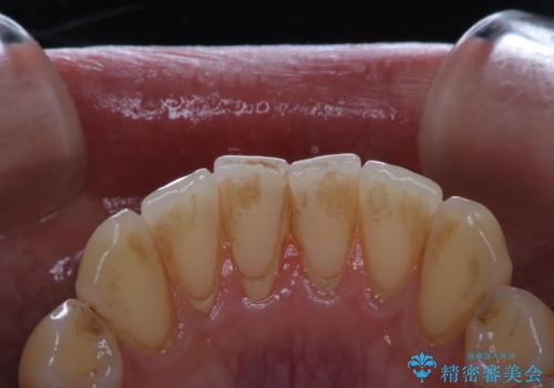
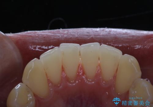
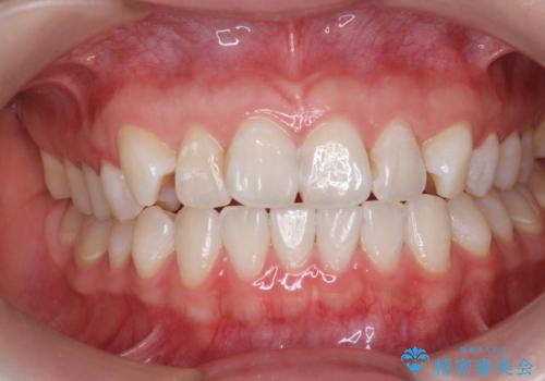
- かなり久しぶりの歯科のためしっかりクリーニングを行いたいとのことでした。PMTC60分コースを行いました。
- 費用(概算)
- 1万円+tax費用は治療当時の料金となります
治療について
pmtcではセルフケアでは取りきれない汚れを、プロの手でクリーニングして磨きます。お口の中は1人1人違うため、その方に合わせた機材や材料を使用していきます。歯の表面や歯周ポケットなどに汚れがついてしまうと虫歯や歯周病になるリスクが非常に高まります。そうなる前に定期的に歯科医院でpmtcを受けることがとても大切です。症状がなくても、小まめなケアをすることで歯周病などの早期発見につながります。
担当歯科衛生士
表参道しらゆり歯科 DH西澤
PMTCの注意事項(リスク・副作用など)
- 歯を白くする目的の施術ではありません
- 保険適用外となります
当サイトの内容、テキスト、画像等の無断転載、複製、複写、盗用を固く禁じます。












