症例詳細
Case detail
歯と歯の間の虫歯治療 セラミックインレーで治療
治療症例の内容
- 診療科目
- 治療カテゴリ
- 担当医
- 井上季実子(ドクタープロフィール)
- 患者様
- 20代女性
- 治療期間
- 1ヶ月
- 治療計画
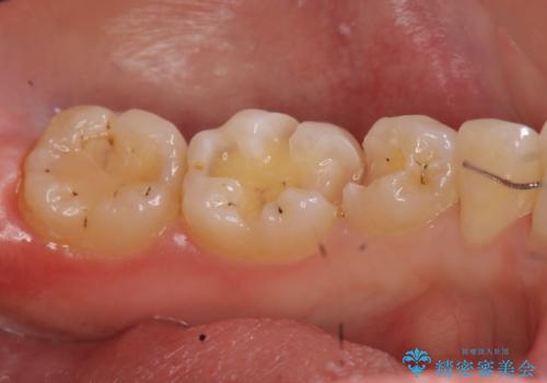
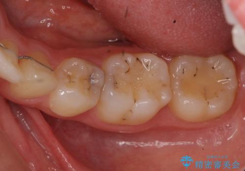
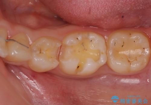
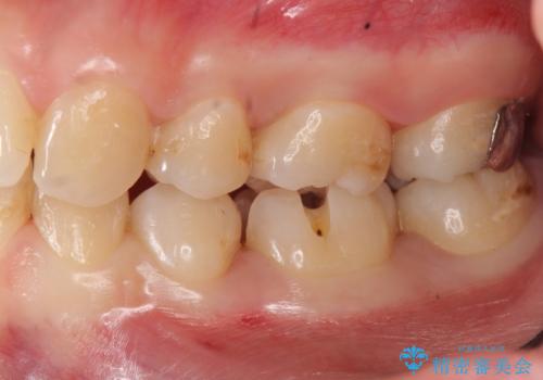
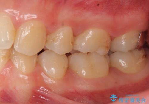
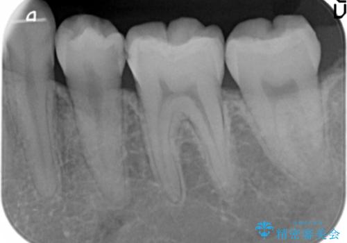
- 奥歯の歯と歯の間が虫歯になっていました。
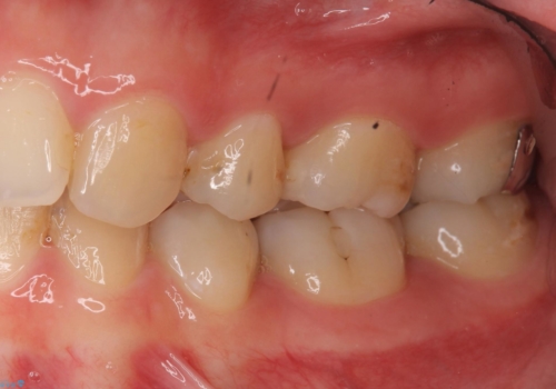
セラミックインレーで治療しました。
- 費用(概算)
- 14万円 左下56:セラミックインレー7万円×2本費用は治療当時の料金となります
治療について
虫歯が進行して、神経に近くなると、冷たいものが染みたりする神経症状が出てきます。
そういった自覚症状が出る前に処置することをおすすめします。
セラミック治療の注意事項(リスク・副作用など)
- 天然歯を削ります
- 硬い素材は天然歯を傷つけてしまう場合があります
- かみ合わせや歯ぎしりが強すぎる方はセラミックが割れてしまう可能性があります
- 自費診療(保険適用外治療)となります
当サイトの内容、テキスト、画像等の無断転載、複製、複写、盗用を固く禁じます。










