症例詳細
Case detail
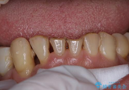
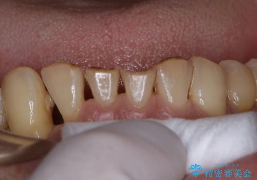
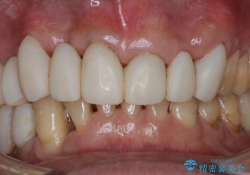
治療中にPMTCでメンテナンス
治療症例の内容
- 診療科目
- 治療カテゴリ
- 患者様
- 40代女性
- 治療期間
- 1日
- 治療計画
- 治療中のメンテナンス希望の方です。PMTC30分コースを行いました。
- 費用(概算)
- ¥5000+tax費用は治療当時の料金となります
治療について
PMTCとはプロフェッショナル・メカニカル・トゥース・クリーニングの略です。
専門的な機械や器具を使用して歯のクリーニングを行います。
口の中には、目には見えない細菌がたくさんいます。歯周病は細菌による感染症です。歯面のプラークや着色(ステイン)など、細菌をしっかり除去し、治療の妨げにならないよう、治療中にPMTCを行うことも大切です。
担当歯科衛生士
表参道しらゆり歯科 DH西澤
PMTCの注意事項(リスク・副作用など)
- 歯を白くする目的の施術ではありません
- 保険適用外となります
当サイトの内容、テキスト、画像等の無断転載、複製、複写、盗用を固く禁じます。








